Looking Through a Transducer

Kriznan's ultrasound images

Menu

Skip to content
  • Home
  • About

Category Archives: Uncategorized

Congenital Diaphragmatic Hernia ( CDH ) and Fetal Hydronephrosis

great vessel crossing,fetal pulmonary vasculature, pericallosal artery

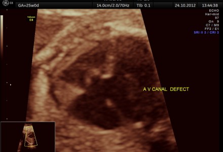
ENDOCARDIAL CUSHION DEFECT ( A.V.CANAL DEFECT OR A.V.SEPTAL DEFECT)

PANCREATIC CALCULI – THE COMET TAIL DOPPLER APPEARANCE

HOLOPROSENCEPHALY- ALOBAR

VSD IN A FETUS -FOLLOW UP FINDINGS

CHOLESTEROLOSIS OF THE GALLBLADDER- STRAWBERRY GALL BLADDER

LIVER SECONDARIES – A CASE REPORT

Post navigation

« Previous 1 2 3

Recent Posts

  • Mass Lesion in 3rd Ventricle October 8, 2017
  • D.O.R.V. December 4, 2016
  • What is your diagnosis? July 27, 2016
  • CONJOINED TWINS June 12, 2016
  • Rt aortic arch and aberrant left subclavian artery May 20, 2016

Archives

Enter your email address to follow this blog and receive notifications of new posts by email.

Join 1,315 other subscribers

Like my page on Facebook

Like my page on Facebook

Top Posts & Pages

  • COMPLEX HYDROCELE
  • PVD -PERIPHERAL VASCULAR DISEASE
  • SPERMATIC CORD HYDROCELE
  • LIMB BODY WALL COMPLEX OR BODY STALK COMPLEX
  • Appendicular mass
  • CONJOINED TWINS
  • Rt aortic arch and aberrant left subclavian artery
  • What is your diagnosis?
  • IUGR OR SKELETAL DYSPLASIA OR RENAL DYSPLASIA
  • UNUSUAL PRESENTATION OF A REGULATION FINDING

Categories

  • 3 d images
  • A V MALFORMATION
  • Abdominal Ultrasound
  • anemia
  • appendix
  • BILE DUCT
  • bowel
  • colour doppler
  • DOPPLER
  • Echo cardiography
  • Fetal Echocardiography
  • fetal face
  • fetal neuro-sonography
  • fetal spine
  • Fetal Ultrasound
  • Gall bladder
  • GASTRO-INTESTINAL
  • Genito-urinary
  • GENITO-URINARY
  • Gynaecology
  • hereditary spherocytosis
  • IUGR
  • jaundice
  • KIDNEYS
  • Liver
  • LOWER LIMB ARTERIES
  • Musculo skeletal ultrasound
  • NEURO SONOGRAPHY
  • OBSTETRIC
  • Pancreas
  • PLACENTA
  • PORTAL VEIN
  • Scrotal ultrasound
  • Shoulder, Musculo-skeletal ultrasound
  • Spleen
  • THYROID
  • TWINS
  • ultrasound images
  • Uncategorized
  • urinary bladder
  • Uterine arterio venous malformation
  • VASCULAR
Blog at WordPress.com.
  • Subscribe Subscribed
    • Looking Through a Transducer
    • Join 195 other subscribers
    • Already have a WordPress.com account? Log in now.
    • Looking Through a Transducer
    • Subscribe Subscribed
    • Sign up
    • Log in
    • Report this content
    • View site in Reader
    • Manage subscriptions
    • Collapse this bar