This was a 39 year old lady presenting with abnormal uterine bleeding for the past 1 month .
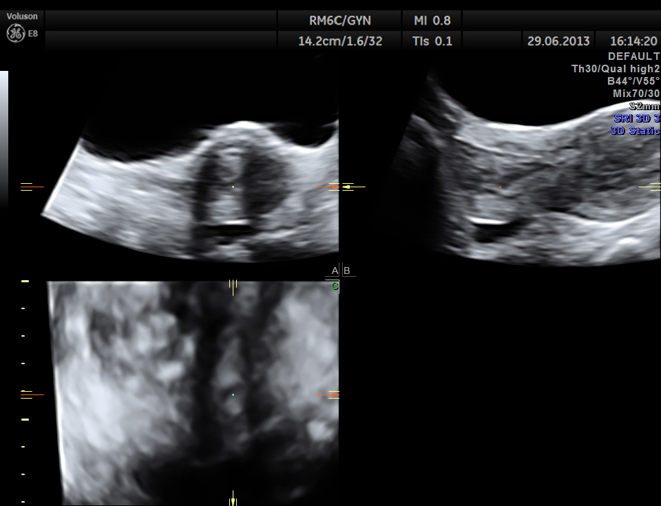
The trans abdominal images are given first. A cervical polyp was seen .
- coronal view ( trans abdominal )
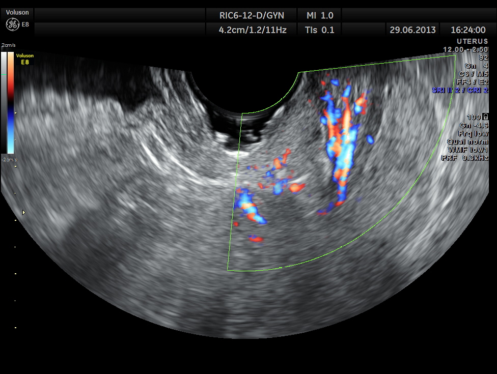
the following images are acquired trans vaginally and the starking difference in clarity can be appreciated.

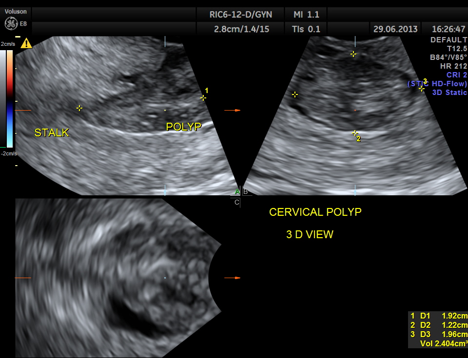
the multi planar 3 d image shows increased flow in the polyp and the stalk arising from the endometrium
The diagnosis offered was an endometrial polyp with a long stalk situated in the cervix.
The gynaecologist did a polypectomy and cervical and endometrial biopsy.
The histopathology report was : Endometrial polyp ; Chronic cervicitis .
This case illustrates the superiority of trans vaginal scan over the trans abdominal mode ( though the diagnosis could have been made trans abdominally also.)








Pingback: ENDOMETRIAL POLYP WITH A STALK PRESENTING IN THE CERVIX | When I turned 53
Great job!
LikeLike
Awesome !
LikeLike
A remarkable representation. The 3D image is fascinating.
LikeLike
Thanks
LikeLike