This was a 9-year-old boy , who was referred for evaluation of acute right scrotal pain of 2 days onset. He had mild right scrotal swelling and severe pain . One of the best uses of colour Doppler is for evaluation of acute scrotal pain , when the surgeon wants to rule out acute torsion . The other common condition is acute inflammation , which is medically managed. The images with colour just tell the story .
Rt Testis has normal appearance , with enlargement of the right epididymis . Colour flow imaging shows normal flow in the scrotum and increased flow in the epididymis , suggestive of acute inflammation – Acute Epididymitis.
Mild hydrocele is also seen.
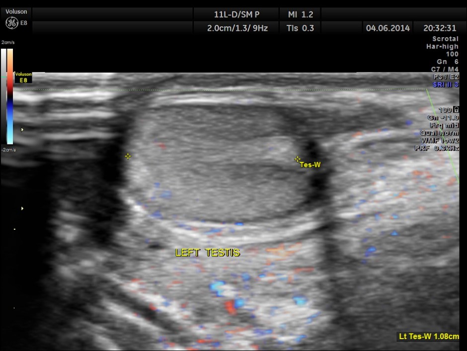
The images of the left testis are given below for comparison.
This was a case of acute epididymitis , without orchitis . In our part of the world filarial infestation leading to acute epididymitis is a common occurrence .






You saved his Testis.If u could have posted also a picture of Torsion it will register nicely in the Brain… Good work & back to business,,,
LikeLike
interesting
LikeLike
Thank you. Nice case
LikeLike
did you give diethylcarbamazine to the boy?
LikeLike
He went back to his consultant
LikeLike