Looking Through a Transducer

Kriznan's ultrasound images

Menu

Skip to content
  • Home
  • About

Category Archives: IUGR

TWINS – MOMO

Total Anomalous Pulmonary Drainage

PLACENTAL MASS LESION – PLACENTAL MESENCHYMAL DYSPLASIA – PMD

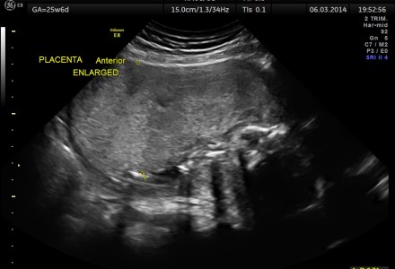
IUGR – PLACENTOMEGALY – ABNORMAL DOPPLER – UTERO PLACENTAL INSUFFICIENCY

IUGR OR SKELETAL DYSPLASIA OR RENAL DYSPLASIA

Recent Posts

  • Mass Lesion in 3rd Ventricle October 8, 2017
  • D.O.R.V. December 4, 2016
  • What is your diagnosis? July 27, 2016
  • CONJOINED TWINS June 12, 2016
  • Rt aortic arch and aberrant left subclavian artery May 20, 2016

Archives

Enter your email address to follow this blog and receive notifications of new posts by email.

Join 1,315 other subscribers

Like my page on Facebook

Like my page on Facebook

Top Posts & Pages

  • CHOLESTEROLOSIS OF THE GALLBLADDER- STRAWBERRY GALL BLADDER
  • PVD -PERIPHERAL VASCULAR DISEASE
  • Appendicular mass
  • RIB FRACTURE ( picked up only by ultrasound)
  • A BAD ACCIDENT
  • Rt aortic arch and aberrant left subclavian artery
  • Developmental Dysplasia of HIP (D.D.H.)
  • LIMB BODY WALL COMPLEX OR BODY STALK COMPLEX
  • POST FATTY MEAL SCAN IN A SUSPECTED GALL BLADDER DYSFUNCTION
  • ACUTE CHEST PAIN IN A 58 YEAR OLD LADY

Categories

  • 3 d images
  • A V MALFORMATION
  • Abdominal Ultrasound
  • anemia
  • appendix
  • BILE DUCT
  • bowel
  • colour doppler
  • DOPPLER
  • Echo cardiography
  • Fetal Echocardiography
  • fetal face
  • fetal neuro-sonography
  • fetal spine
  • Fetal Ultrasound
  • Gall bladder
  • GASTRO-INTESTINAL
  • Genito-urinary
  • GENITO-URINARY
  • Gynaecology
  • hereditary spherocytosis
  • IUGR
  • jaundice
  • KIDNEYS
  • Liver
  • LOWER LIMB ARTERIES
  • Musculo skeletal ultrasound
  • NEURO SONOGRAPHY
  • OBSTETRIC
  • Pancreas
  • PLACENTA
  • PORTAL VEIN
  • Scrotal ultrasound
  • Shoulder, Musculo-skeletal ultrasound
  • Spleen
  • THYROID
  • TWINS
  • ultrasound images
  • Uncategorized
  • urinary bladder
  • Uterine arterio venous malformation
  • VASCULAR
Blog at WordPress.com.
  • Subscribe Subscribed
    • Looking Through a Transducer
    • Join 195 other subscribers
    • Already have a WordPress.com account? Log in now.
    • Looking Through a Transducer
    • Subscribe Subscribed
    • Sign up
    • Log in
    • Report this content
    • View site in Reader
    • Manage subscriptions
    • Collapse this bar