At times we get a few patients , whom we are reluctant to give a definitive label , as we are not very sure of what is happening. This is one such case . This was a 24 year old primi gravida . She had no history of consanguinity. She had no history of Diabetes, systemic hypertension or thyroid disorder. Her 1st trimester scan had confirmed her dates and gestational age was assigned as per LMP ( at a different centre ).
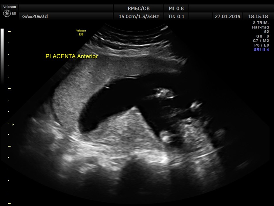
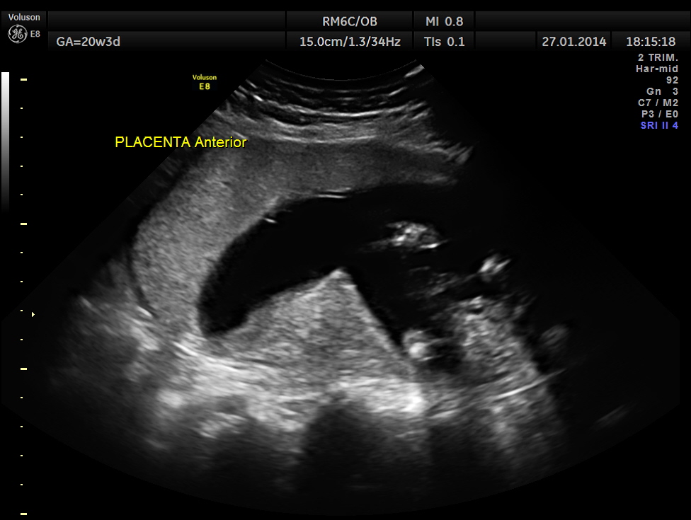
As it can be seen , the GA was around 20 weeks , but the AUA was around 17 weeks. All parameters – BPD, HC, AC, FL are < 2.3 %tile and all other long bones are < 5.0 %tile.
The kidneys and the urinary bladder appear to be normal.
Amniotic fluid appears to be adequate.
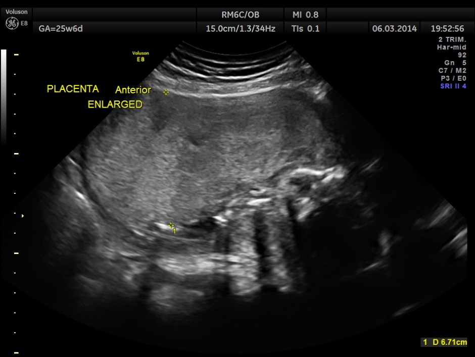
The following report is of the same patient after 5 weeks 3 days.
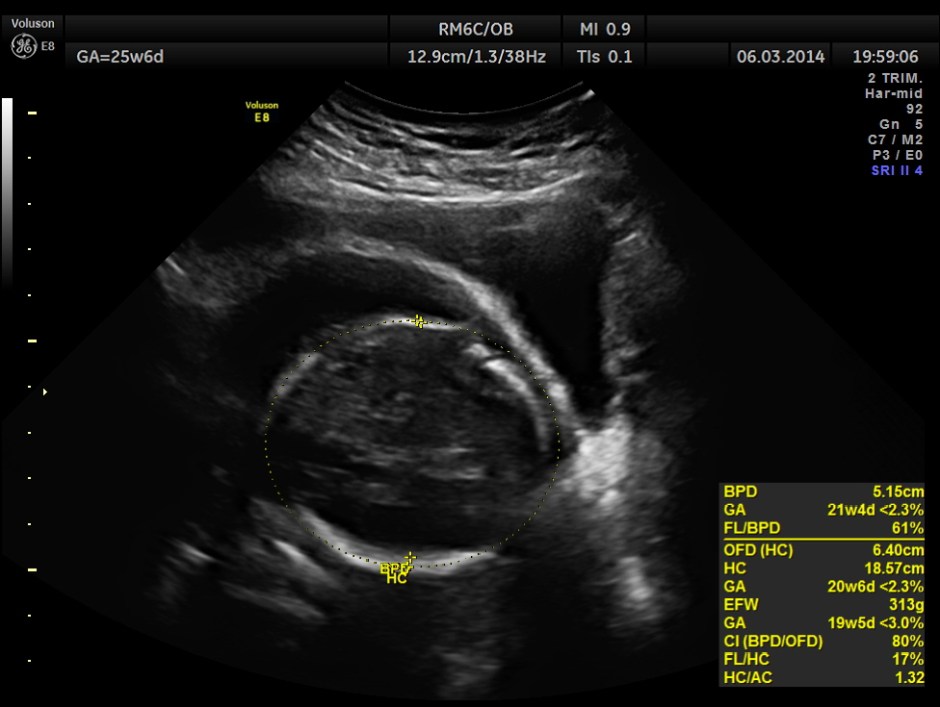
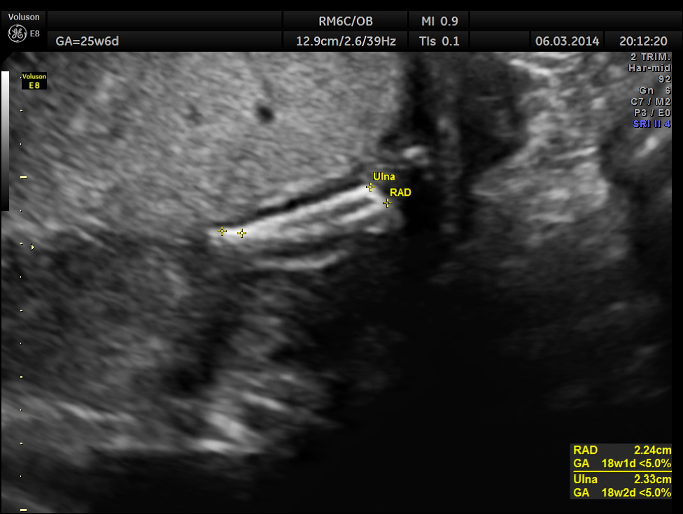
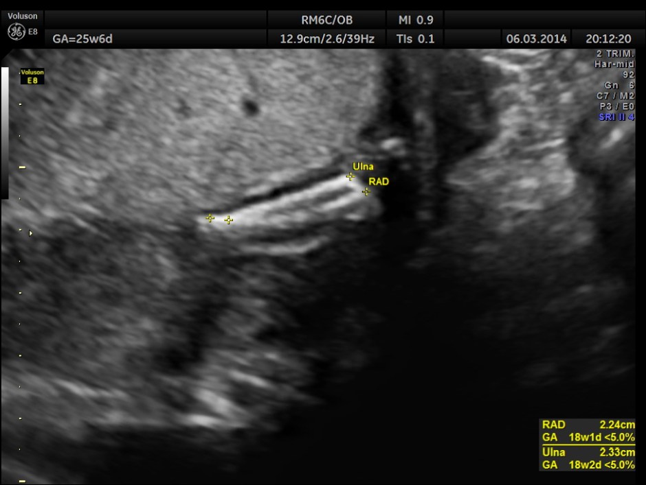
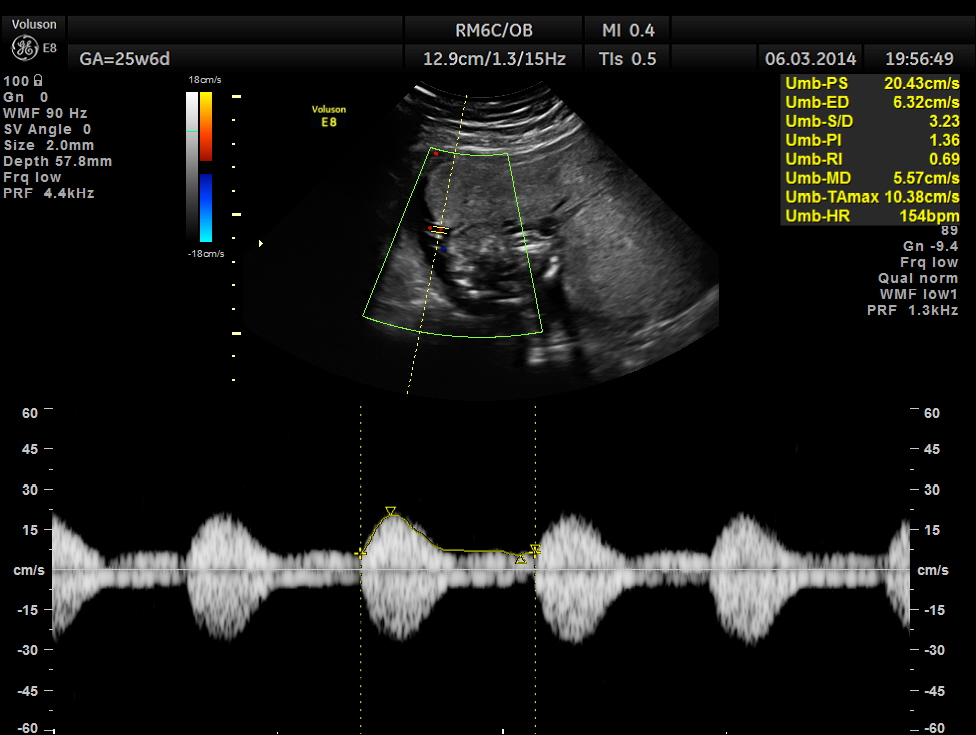
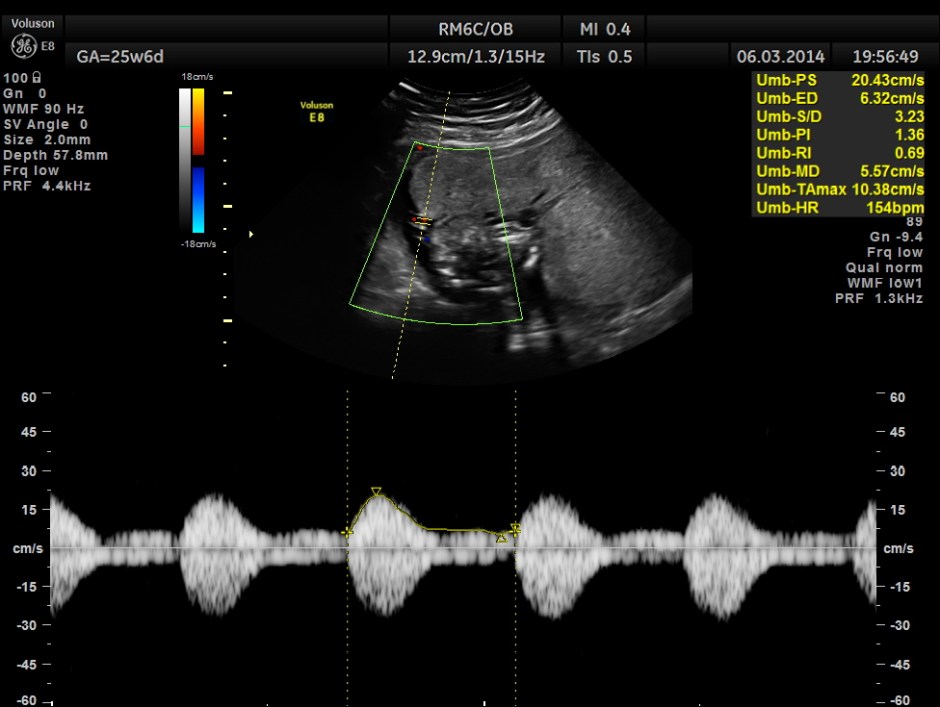
The GA was around 25 weeks , but the AUA was around 19 to 20 weeks. All parameters – BPD, HC, AC, FL are < 2.3 %tile and all other long bones are < 5.0 %tile.
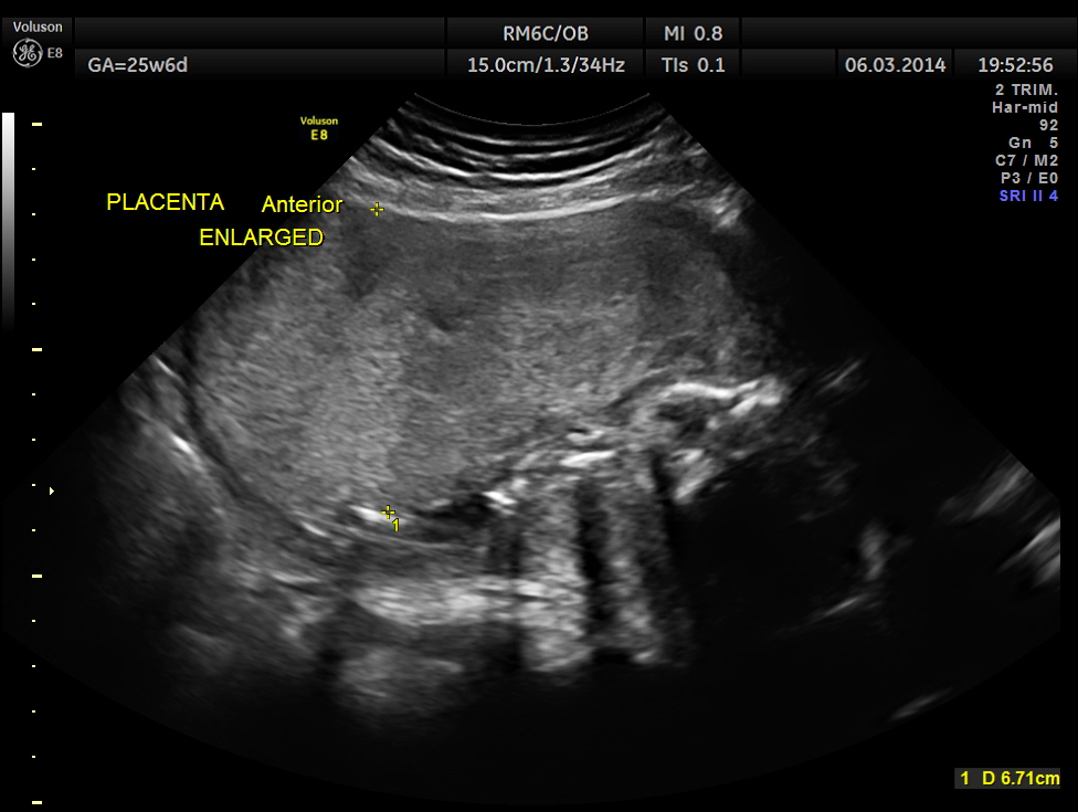
Prominent placentomegaly seen .
Oligohydramnios seen.
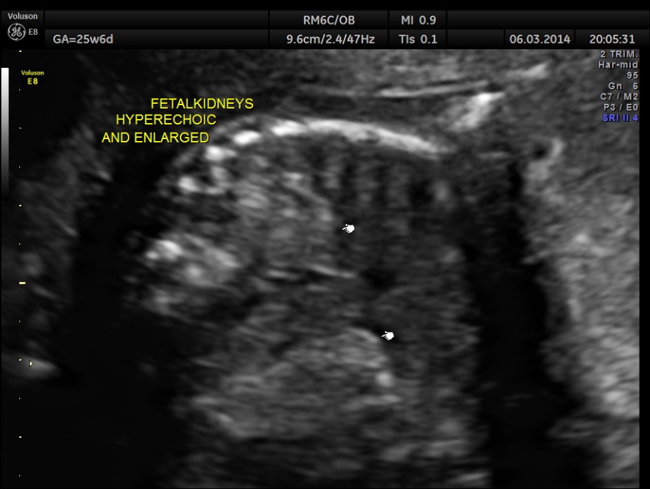
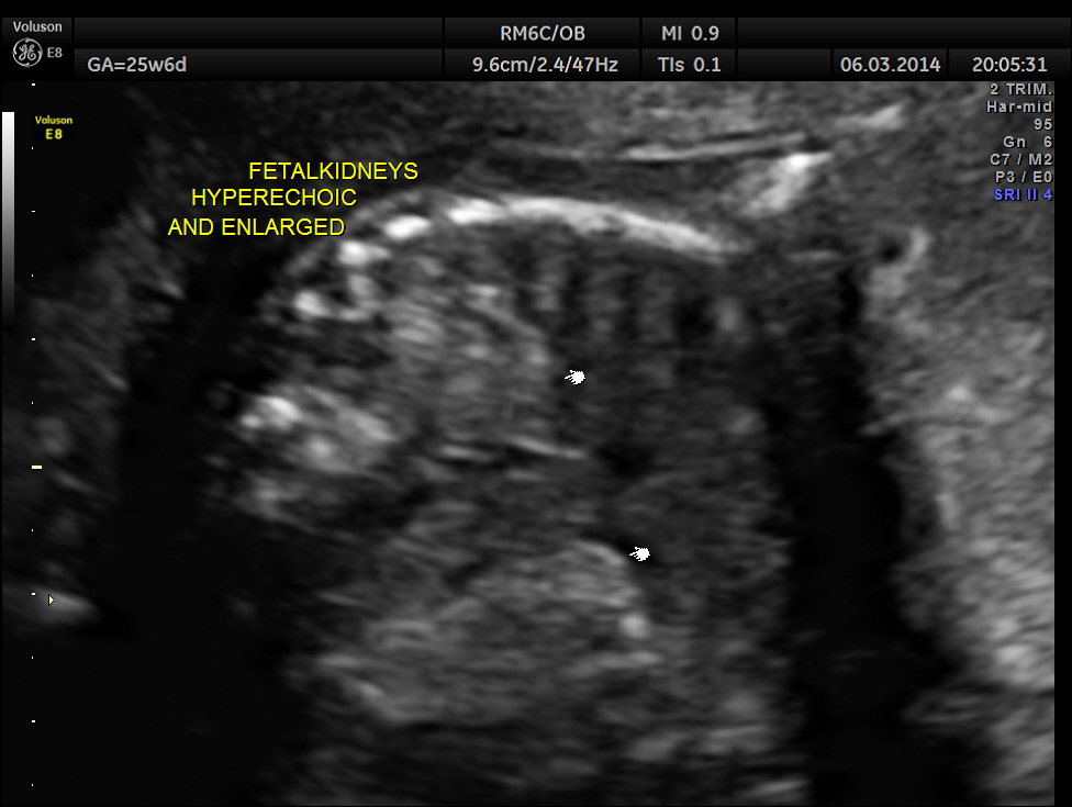
Fetal kidneys are hyperechoic and enlarged.
Umbilical arterial P.I. and R.I. are higher for the GA.
At this point a diagnosis of Placentomegaly , Symmetrical Intra Uterine Growth Restriction , Probable renal dysplasia with oligohydramnios was suggested . The patient was referred by her consultant to a higher centre . The patient opted for termination of pregnancy as the 2nd opinion was also not favourable. But she had a spontaneous abortion few hours before the planned procedure. The fetus and the placenta underwent autopsy . The findings are summarised below :
Placenta showed focal areas of infarct and calcification
Cord with only two vessels seen and umbilical cord measured 20 cms in length.
Lungs and spleen show congestion.
Kidneys with adrenal were normal .
The cause of death was Placental Insufficiency due to Placental Infarct and abnormal umbilical cord vessel anatomy .
Please look at the placenta again . The infarcts are made out clearly.


















an instructive case indeed
LikeLike
Thank you once again for posting another beautiful case of Academic Interest.
LikeLike
Liked the presentation,just like the others.Informative post abortion findings.Just asking,can an infarct be identified conclusively without colour doppler?
LikeLike
I’ve been working in ultrasound for about 18years and I have never seen a patient with infarcted uterus this was very; interesting and I learned
a lot thank you for this article
LikeLike
Has the pacient explored for tombophylia? This pathology could produce the problems.
LikeLike