This was a 55 year old lady who presented with history of acute RIF pain 10 days ago and a dull pain at present.
On clinical examination a mass was palpable in the Right iliac fossa.
Ultrasound of the liver, gall bladder , pancreas and spleen revealed no abnormality.
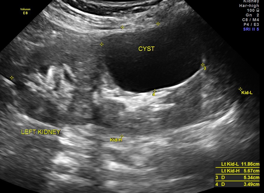
The uterus and ovaries were shrunk.
The left kidney showed an incidental simple cyst.
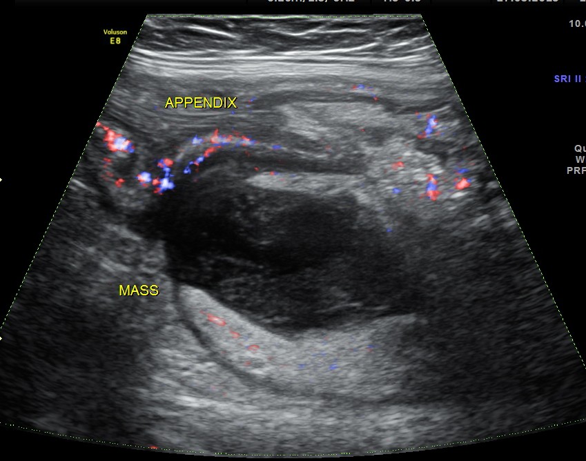
The RIF showed the inflamed appendix communicating with an appendicular mass beneath it.
The following shows the colour Doppler findings.
The following shows the 3 d findings .
The ultrasound diagnosis was acute appendicitis with appendicular mass.








awesome images … thank you for sharing!
LikeLike
Thanks for your comments
LikeLike
Very nice and educative. Razak
LikeLike
Thanks
LikeLike
what was the treatment plan?
LikeLike
Surgery
Done successfully
LikeLike
Great Pictures! Did you get Pathology results? Besides acute rlq pain, can you share patient’s labs and any other symtoms. Were there any pulsewave doppler images done? WHat type of flow did you get? Oh one more question, just curious, why the the liver and right kidney picture was reversed? Thanks for sharing, I love learning from case studies. Sarah
LikeLike
Thanks for sharing. What is prognosis or treatment followed?
LikeLike
she underwent surgery successfully. thanks krishnan
________________________________
LikeLike
Genial. Muy buenas imágenes! !
LikeLike
Hi sir,
Y it can’t be appendicular abscess?! Pls explain
LikeLike
we presented ultrasound of appendicitis in AIUM in 2001 and was awarded.
LikeLike