This was a 90 year old lady who presented with history of Right upper quadrant pain and fever with chills for the last 1 month. She was given PPI’s and antibiotics and was not improving. She came with a rider that she was not willing for any surgical treatment.
Her ultrasound showed the following findings :

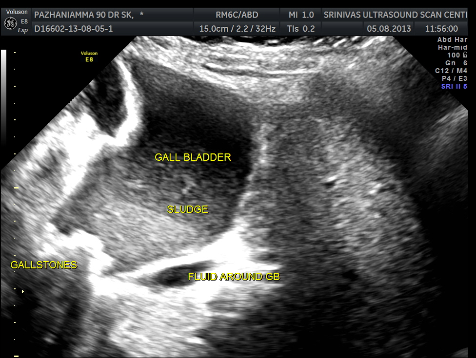
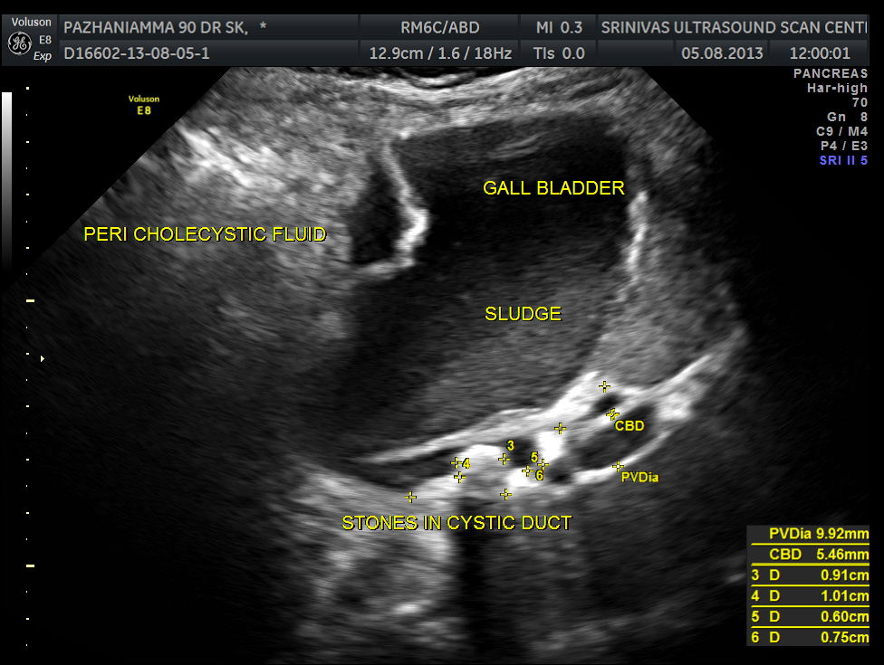
grossly distended gallbladder , with sludge and gallstones and fluid around the gall bladder.
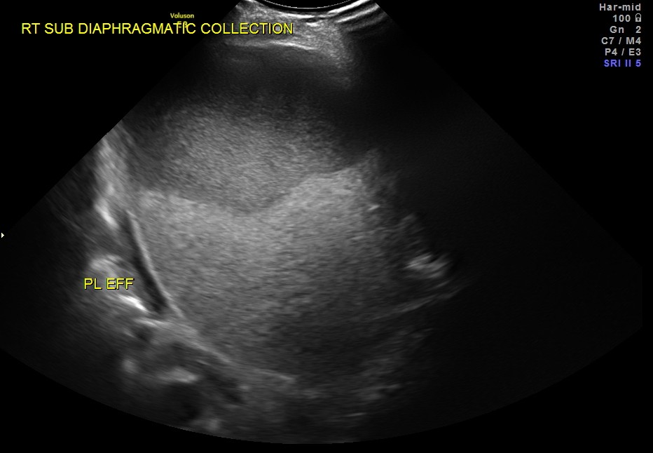
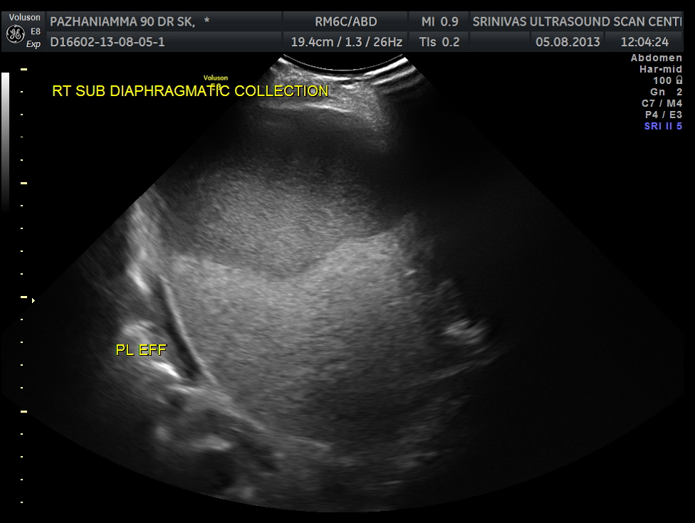
SUB DIAPHRAGMATIC COLLECTION , PROBABLY LOCULATED WAS ALSO SEEN. MINIMAL RIGHT PLEURAL EFFUSION WAS ALSO SEEN.
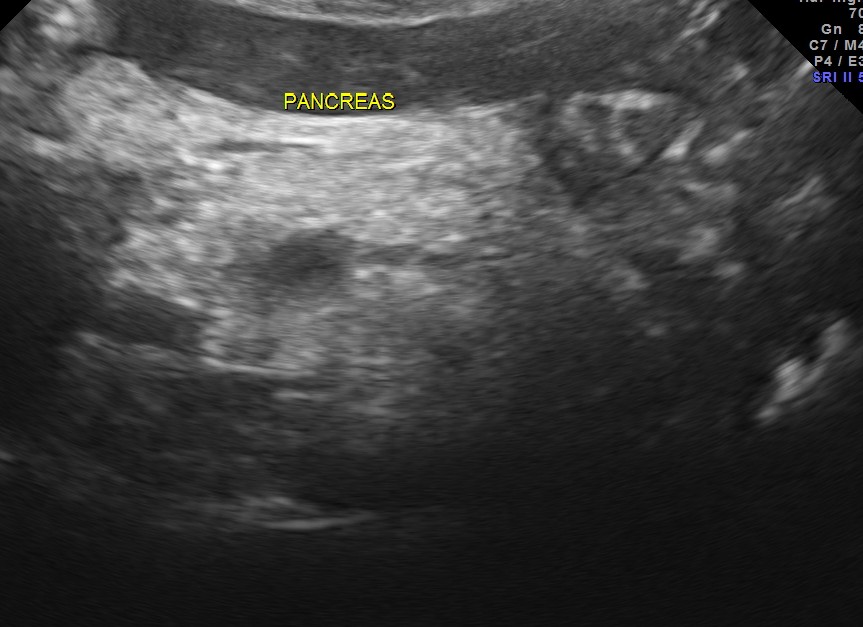
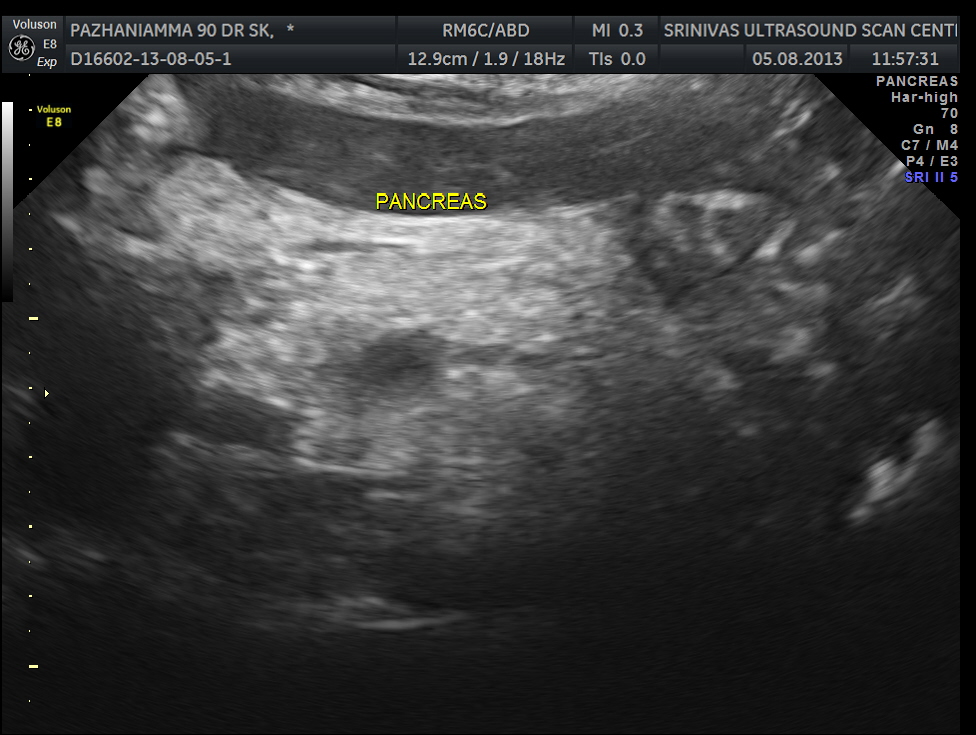
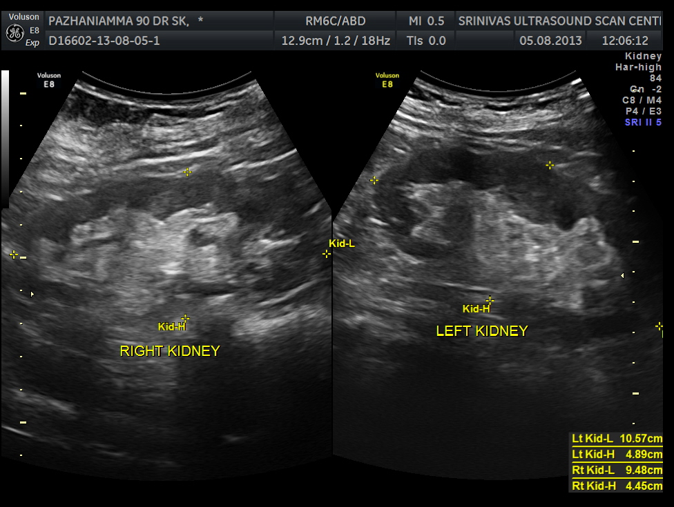
pancreas, spleen and both kidneys were normal.
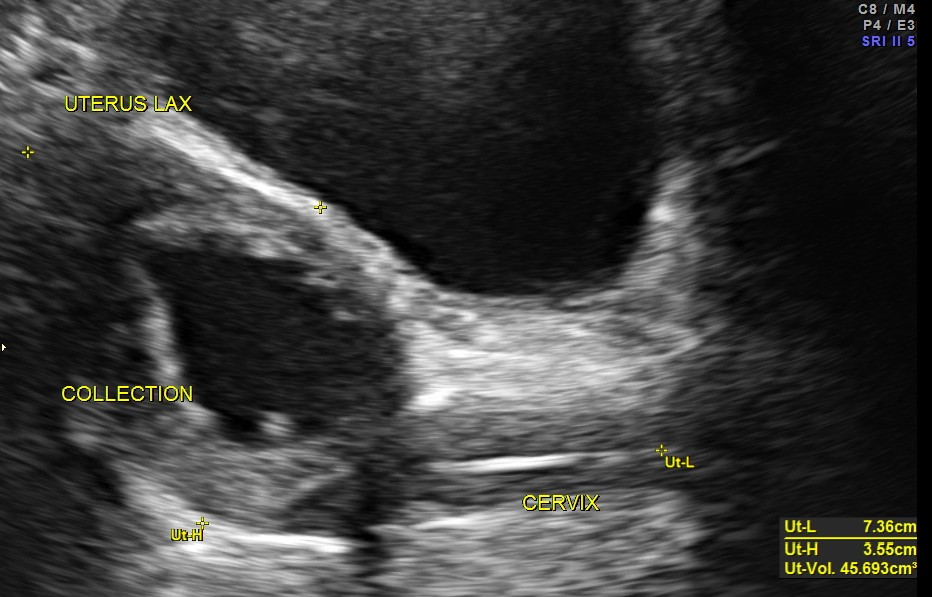
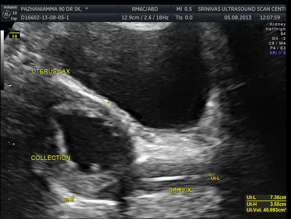
The pelvic scan had a surprise finding. Prominent fluid collection was seen in the endometrial cavity with echogenic cervix. ( She had no symptom of any vaginal bleeding or discharge )
The diagnosis was : acute calculous cholecystitis , cystic duct stones causing a rupture and fluid collection around the GB and loculated sub diaphragmatic collection with reactive mild right pleural effusion . Endometrial fluid collection needed further evaluation.
The patient was referred to a surgeon , who advised her surgery. The patient declined surgery and was lost for further follow up.







eccelent pictures with vivid details
LikeLike
A very interest case!
LikeLike
interesting case with great images
LikeLike
Thanks
LikeLike
an interesting case.
Is it common to have fluid in the uterus at that age?
LikeLike
No.Ideally she should have been investigated further to R/O any cervical obstructive pathology. But the patient was not willing for any further investigations Regards Krishnan
Sent from my iPad
>
LikeLike
sorry to have no any follow-up.
LikeLike
Krishnan, what an equipment is Voluson E 8 ! I hope, one day,…
LikeLike
Thanks ; I m sure you will hold something even better in the future
LikeLike
excluding the endometrial collection , what is the prognosis of diabetic 53 years old male patient diagnosed as ACUTE CALCULUS CHOLECYSTITIS with SUB PHRENIC ABSCESS RT ..and what is the best possible treatment ?? please reply
LikeLike
Surgical management
LikeLike