Looking Through a Transducer

Kriznan's ultrasound images

Menu

Skip to content
  • Home
  • About

Category Archives: Gynaecology

UTERINE ARTERIO-VENOUS MALFORMATION

ENDOMETRIAL THICKNESS IN POST MENOPAUSAL STATUS PATIENT TAKING TAMOXIFEN

MASSIVE FIBROID ( LEIOMYOMA )

RIGHT SIDED ABDOMINAL PAIN AND DYSPEPSIA

PREGNANCY COMPLICATED BY ADNEXAL MASS

ACUTE CHOLECYSTITIS WITH SUB DIAPHRAGMATIC COLLECTION

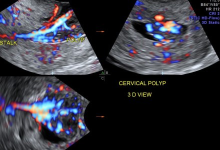
ENDOMETRIAL POLYP WITH A STALK PRESENTING IN THE CERVIX

Recent Posts

  • Mass Lesion in 3rd Ventricle October 8, 2017
  • D.O.R.V. December 4, 2016
  • What is your diagnosis? July 27, 2016
  • CONJOINED TWINS June 12, 2016
  • Rt aortic arch and aberrant left subclavian artery May 20, 2016

Archives

Enter your email address to follow this blog and receive notifications of new posts by email.

Join 1,315 other subscribers

Like my page on Facebook

Like my page on Facebook

Top Posts & Pages

  • Appendicular mass
  • LIMB BODY WALL COMPLEX OR BODY STALK COMPLEX
  • CONJOINED TWINS
  • ACUTE CHEST PAIN IN A 58 YEAR OLD LADY
  • Rt aortic arch and aberrant left subclavian artery
  • A BAD ACCIDENT
  • Developmental Dysplasia of HIP (D.D.H.)
  • COMPLEX HYDROCELE
  • MASSIVE FIBROID ( LEIOMYOMA )
  • UNUSUAL PRESENTATION OF A REGULATION FINDING

Categories

  • 3 d images
  • A V MALFORMATION
  • Abdominal Ultrasound
  • anemia
  • appendix
  • BILE DUCT
  • bowel
  • colour doppler
  • DOPPLER
  • Echo cardiography
  • Fetal Echocardiography
  • fetal face
  • fetal neuro-sonography
  • fetal spine
  • Fetal Ultrasound
  • Gall bladder
  • GASTRO-INTESTINAL
  • Genito-urinary
  • GENITO-URINARY
  • Gynaecology
  • hereditary spherocytosis
  • IUGR
  • jaundice
  • KIDNEYS
  • Liver
  • LOWER LIMB ARTERIES
  • Musculo skeletal ultrasound
  • NEURO SONOGRAPHY
  • OBSTETRIC
  • Pancreas
  • PLACENTA
  • PORTAL VEIN
  • Scrotal ultrasound
  • Shoulder, Musculo-skeletal ultrasound
  • Spleen
  • THYROID
  • TWINS
  • ultrasound images
  • Uncategorized
  • urinary bladder
  • Uterine arterio venous malformation
  • VASCULAR
Blog at WordPress.com.
  • Subscribe Subscribed
    • Looking Through a Transducer
    • Join 195 other subscribers
    • Already have a WordPress.com account? Log in now.
    • Looking Through a Transducer
    • Subscribe Subscribed
    • Sign up
    • Log in
    • Report this content
    • View site in Reader
    • Manage subscriptions
    • Collapse this bar