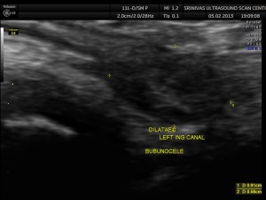
This was a 11 year old boy referred for evaluation of left inguinal swelling on and off.
The clinical diagnosis was bubunocele.
http://en.wiktionary.org/wiki/bubonocele
bubonocele (plural bubonoceles)
(medicine) An inguinal hernia, especially of the incomplete variety in which the hernial pouch descends only as far as the groin, forming a swelling there like a bubo.
http://medical-dictionary.thefreedictionary.com/bubonocele
An inguinal hernia, especially one in which the knuckle of intestine has not yet emerged from the external abdominal ring.




Pingback: Hernia « Ask the Doctor and be Healthy