This was a 23 year old primi gravida without history of consanguinity was sent for anomaly scan at 33 weeks of gestation. Earlier two scans had not detected any anomaly at another centre.
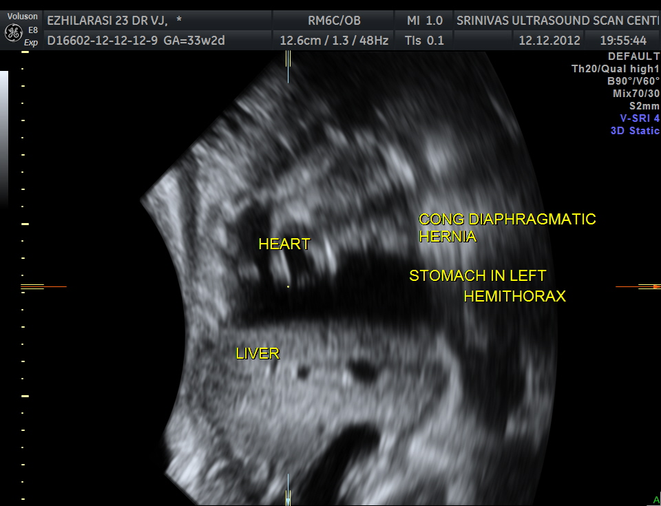
The heart was seen in the right side of thorax . The left hemithorax showed the stomach bubble and bowel loops suggestive of Congenital Diaphragmatic Hernia .
The fetus also showed bilateral pelvi calyectasis and rt ureteromegaly.
Key messages
-
Infants with CDH should be delivered in specialist centres
-
Gentle ventilation techniques, including permissive hypercapnia to protect the delicate lungs, and strategies to reduce pulmonary hypertension should be employed
-
Surgery should be delayed until pulmonary hypertension has been stabilised in utero surgery offers hope for high risk CDH but techniques are not yet perfected and premature labour remains a problem
-
Postnatal lung growth strategy with perfluorocarbon liquid and ECMO support is encouraging for high risk cases









Pingback: Congenital Diaphragmatic Hernia ( CDH ) and Fetal Hydronephrosis « When I turned 53
good to discover early
LikeLike
I’m expecting a CDH baby right now. Though not as severe as the photos above (the stomach is the only organ that has migrated up into the chest cavity), it is still a very scary situation. Thanks for posting this to raise awareness. I hadn’t ever heard of CDH until we were diagnosed at 18 weeks (I am 30 weeks along now).
LikeLike
It is strange but true that the exact Cause of Primary Pulmonary Hypertension is yet to be ascertained. However, researchers in this regard suggest that certain diet drugs (appetite suppressants) can make a person more prone to developing this fatal condition.Primary Pulmonary Hypertension is basically a disorder of the blood vessels wherein the pressure in the pulmonary artery rises above normal levels, thereby posing a life-threatening risk. Several diseases or causative factors, largely unknown, may lead to the malfunctioning denoted by the term Primary Pulmonary Hypertension…
Most up to date article coming from our blog
<http://www.beautyfashiondigest.com/keratin-treatment-reviews/
LikeLike
We published a series on fetal and neonatal hydronephrosis in the ASEAN journal of radiology using USG and isotope renograms done in CNMU Rangpur Bangladesh.
LikeLiked by 1 person