Looking Through a Transducer

Kriznan's ultrasound images

Menu

Skip to content
  • Home
  • About

Author Archives: kriznan

VSD IN A FETUS 1

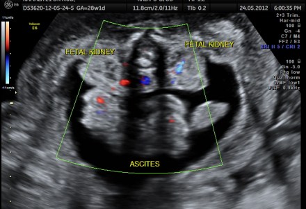
MECKEL GRUBER SYNDROME

URINARY BLADDER CARCINOMA

VESICAL CALCULI

SUPRASPINATUS TEAR

NON IMMUNE HYDROPS

Anencephaly: 32 weeks Gestation

Post navigation

« Previous 1 … 14 15 16

Recent Posts

  • Mass Lesion in 3rd Ventricle October 8, 2017
  • D.O.R.V. December 4, 2016
  • What is your diagnosis? July 27, 2016
  • CONJOINED TWINS June 12, 2016
  • Rt aortic arch and aberrant left subclavian artery May 20, 2016

Archives

Enter your email address to follow this blog and receive notifications of new posts by email.

Join 1,315 other subscribers

Like my page on Facebook

Like my page on Facebook

Top Posts & Pages

  • Appendicular mass
  • LIMB BODY WALL COMPLEX OR BODY STALK COMPLEX
  • ACUTE CHEST PAIN IN A 58 YEAR OLD LADY
  • Rt aortic arch and aberrant left subclavian artery
  • A BAD ACCIDENT
  • Developmental Dysplasia of HIP (D.D.H.)
  • SPERMATIC CORD HYDROCELE
  • RENAL MASS - HYPERNEPHROMA - RENAL CELL CARCINOMA
  • MASSIVE FIBROID ( LEIOMYOMA )
  • ACUTE SCROTAL PAIN IN A YOUNG BOY

Categories

  • 3 d images
  • A V MALFORMATION
  • Abdominal Ultrasound
  • anemia
  • appendix
  • BILE DUCT
  • bowel
  • colour doppler
  • DOPPLER
  • Echo cardiography
  • Fetal Echocardiography
  • fetal face
  • fetal neuro-sonography
  • fetal spine
  • Fetal Ultrasound
  • Gall bladder
  • GASTRO-INTESTINAL
  • Genito-urinary
  • GENITO-URINARY
  • Gynaecology
  • hereditary spherocytosis
  • IUGR
  • jaundice
  • KIDNEYS
  • Liver
  • LOWER LIMB ARTERIES
  • Musculo skeletal ultrasound
  • NEURO SONOGRAPHY
  • OBSTETRIC
  • Pancreas
  • PLACENTA
  • PORTAL VEIN
  • Scrotal ultrasound
  • Shoulder, Musculo-skeletal ultrasound
  • Spleen
  • THYROID
  • TWINS
  • ultrasound images
  • Uncategorized
  • urinary bladder
  • Uterine arterio venous malformation
  • VASCULAR
Blog at WordPress.com.
  • Subscribe Subscribed
    • Looking Through a Transducer
    • Join 195 other subscribers
    • Already have a WordPress.com account? Log in now.
    • Looking Through a Transducer
    • Subscribe Subscribed
    • Sign up
    • Log in
    • Report this content
    • View site in Reader
    • Manage subscriptions
    • Collapse this bar