Fetal echocardiography can pick up VSD .
This was a 21 year old primi with h/o consanguinity ; Gestational age at the time of the scan was around 21 weeks .Few of the fetal echo pictures are presented below :
outflow tract VSD is seen
colour doppler showed
a 3 d reconstruction is given below
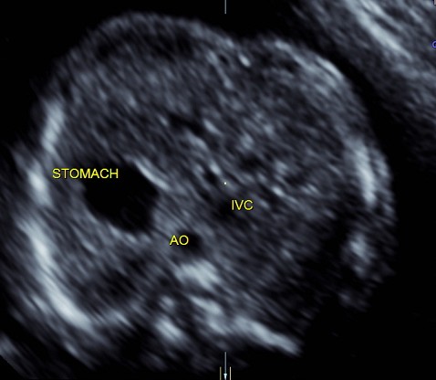
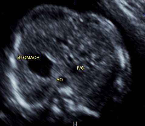
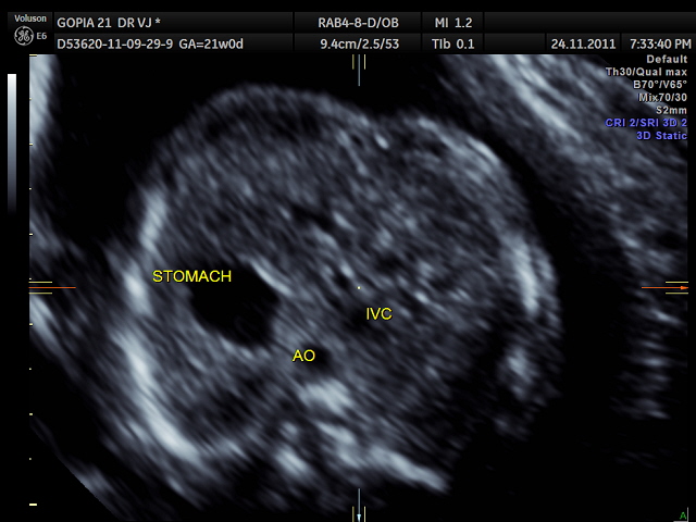
the following two pictures establish the normal situs





These are very clear images. Wish there was a way to get a college to notice them and use them in lectures! We had to imagine these things when we studied.
LikeLike