Presentation :
24 year old lady was referred for targeted anomaly scan around 22 weeks of gestation.
History of consanguinity was present . She had married her uncle ( mother’s brother ).
She was Gravida 4 Para 0 MTP 3 – for proven MECKEL GRUBER SYNDROME. She and her husband had undergone genetic work up and have been found to be unaffected carriers.
![]()
SO THE CHANCES WERE THAT 1 IN 4 CHANCE FOR AN AFFECTED FETUS. BUT THIS IS LIKE RUSSIAN ROULETTE – YOU DON’T KNOW YOUR CHANCE . AND SO FAR THEY HAVE HAD 3 OUT OF 3 AFFECTED .
WHAT IS MECKEL GRUBER SYNDROME ?
Meckel Gruber Syndrome (MGS) is a rare and lethal
autosomal recessive disorder characterized by occipltal
encephalocele, bilateral polycystic dysplastic kidneys and
post-axial polydactly .
Although numerous abnormalities associated with
MGS were previously reported in the literature, DandyWalker malformation , microcephaly, intrauterine growth retardation (IUGR), single umbilical artery,
cardiovascular defects, cleft palate , several genital
abnormalities , oligohydramnios are the most
well known. Hepatic periportal fibrosis and
hydrocephalus were also noted in some cases. The
incidence of this rare syndrome has been estimated as 1 in
50,000 .
THIS PATIENT HAD THE FOLLOWING FINDINGS :
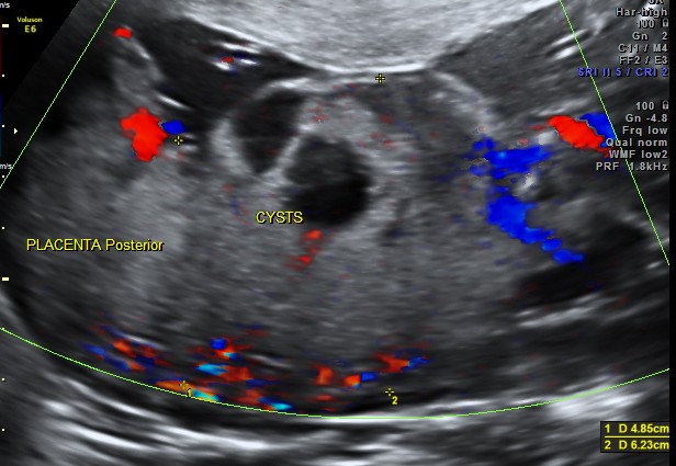
Placentomegaly with placental cysts
microcephaly (BPD &HC are less than <2.3 %tile )
occipital encephalocele
enlarged and hyperechoic kidneys
narrow , bell shaped chest , suggestive of pulmonary hypoplasia
posterior fossa showed Dandy Walker malformation
Sadly that made it 4 out of 4 . The patient was advised termination of pregnancy as this was a lethal anomaly









Nice presentation.
I have to admit that I am extremely sensitive to genetics.
why not publish your findings in a reputed journal like NEJM / BMJ
LikeLike
thanks gs
LikeLike
Thanks for posting this. Never heard of MGS before. Neat images.
LikeLike