This was a 55 year old lady who was being evaluated for history of one episode of hemoptysis 3 days before she presented to our clinic. On questioning she gave history of mild breathlessness on exertion and paroxysmal nocturnal dyspnoea occasionally.
Her chest xray showed mild cardiomegaly , prominent right pulmonary artery and right lower lobe pneumonitis changes.
Her EKG showed normal sinus rhythm and left atrial enlargement.
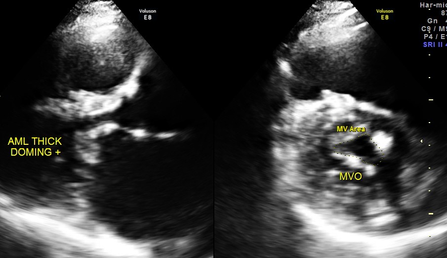
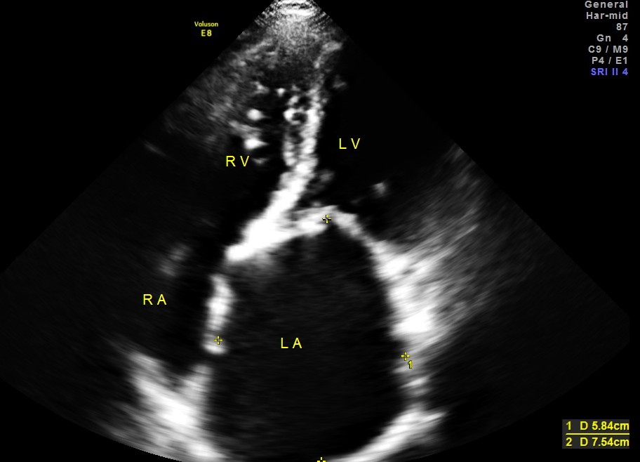
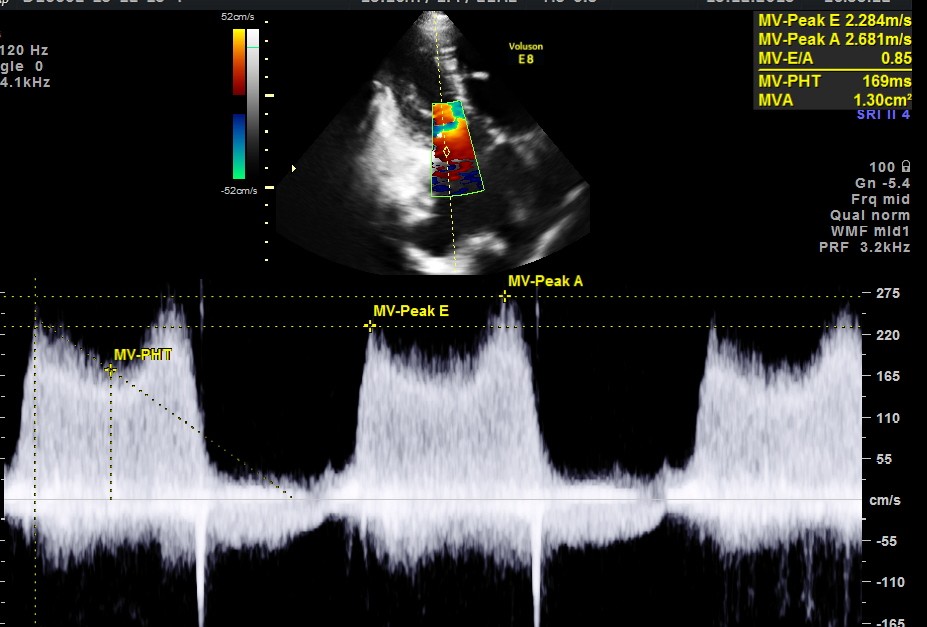
Her Echo cardiogram showed the following findings :
another normal mitral flow clipping is given below for comparison :
This patient had Rheumatic heart disease , moderate mitral stenosis with pulmonary hypertension .





Excellent presentation. Thank you for your contribution,….looking forward to seeing more of your work.
~thom~
LikeLike