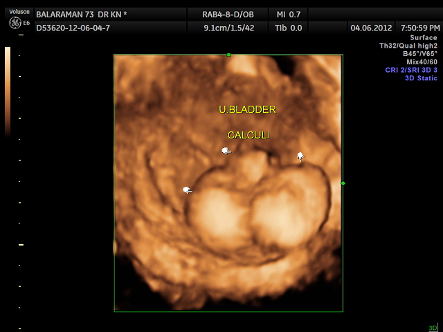
THIS WAS A 73 YEAR OLD MAN WITH DIFFICULTY IN PASSING URINE AND STRANGURY OF RECENT ONSET ; THE REFERRING PHYSICIAN WAS KEEN ON RULING OUT ANY PROSTATIC PATHOLOGY.
USG SHOWED THIS
USG THROWS UP SURPRISES !
THIS WAS A 73 YEAR OLD MAN WITH DIFFICULTY IN PASSING URINE AND STRANGURY OF RECENT ONSET ; THE REFERRING PHYSICIAN WAS KEEN ON RULING OUT ANY PROSTATIC PATHOLOGY.
USG SHOWED THIS
USG THROWS UP SURPRISES !