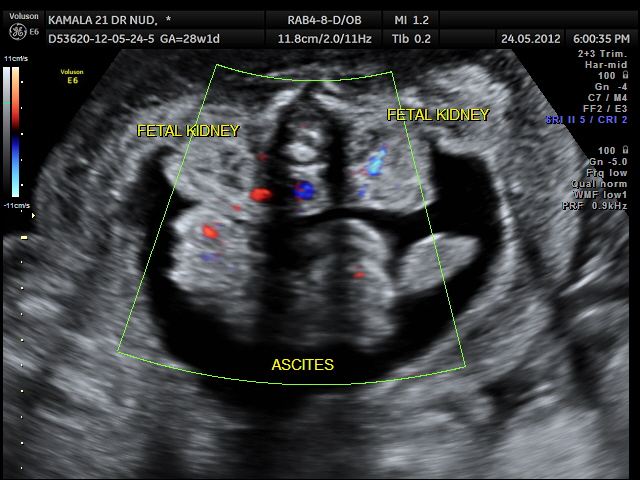
NON IMMUNE HYDROPS – RH ISO IMMUNISATION HAS BEEN RULED OUT .
THIS FETUS SHOWED SEVERE SUB CUTANEOUS EDEMA ,BILATERAL PLEURAL EFFUSION AND ASCITES .
PATHO-PHYSIOLOGY IN SHORT IS INCREASED CVP.
CAUSES COULD BE CHROMOSOMAL,CARDIOVASCULAR, PULMONARY, G.I ., G.U . ,HEMATOLOGICAL, INFECTIONS etc.

