This was a 34 year old man , who presented with features of right iliac fossa pain of 3 months duration , with increasing pain over the last 1 week.He gives history of some difficulty in passing urine.
On clinical examination , he had diffuse RIF tenderness , with rebound tenderness.
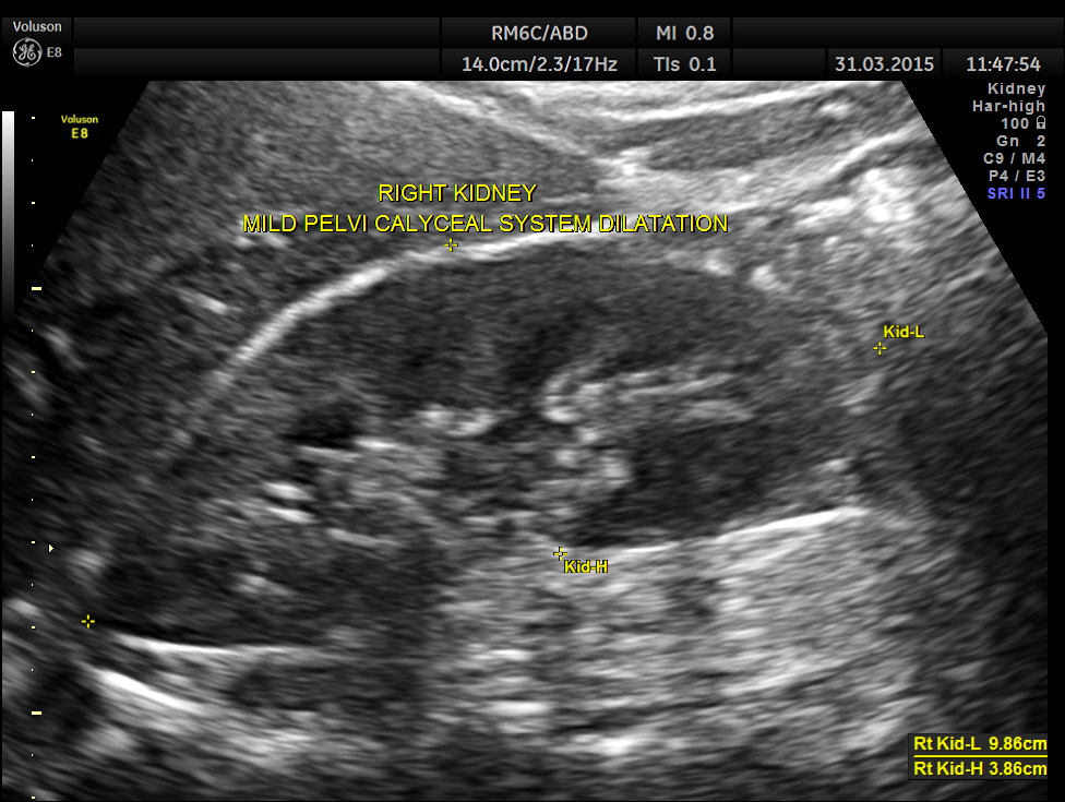
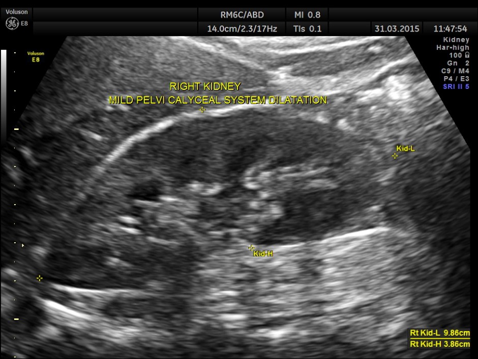
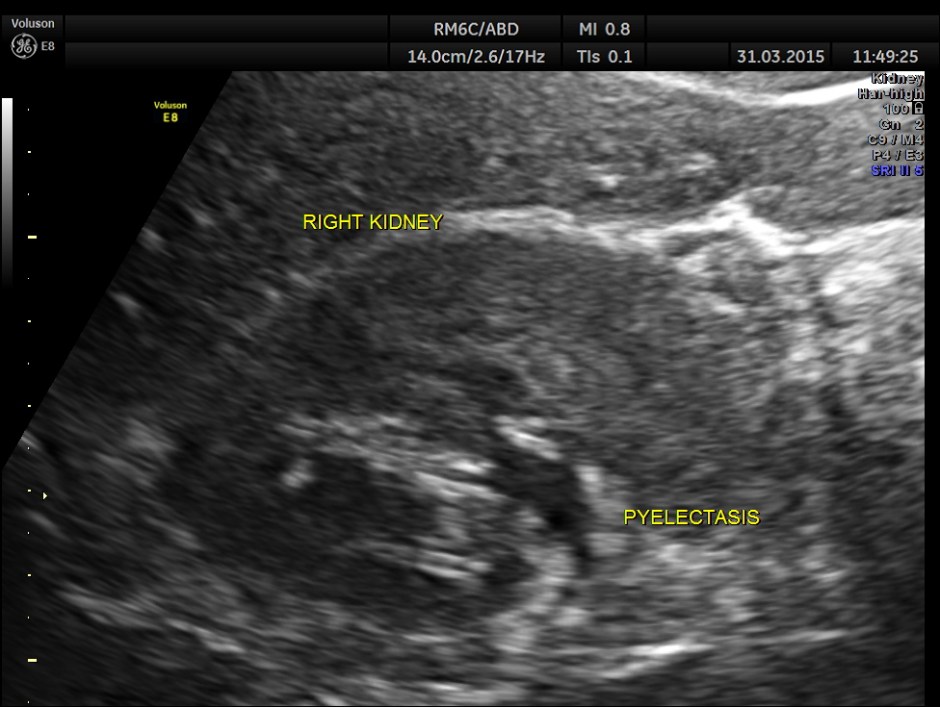
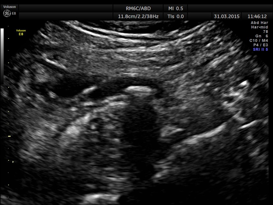
Ultrasound showed the following.
Right kidney shows mild pelvi calyceal dilatation.
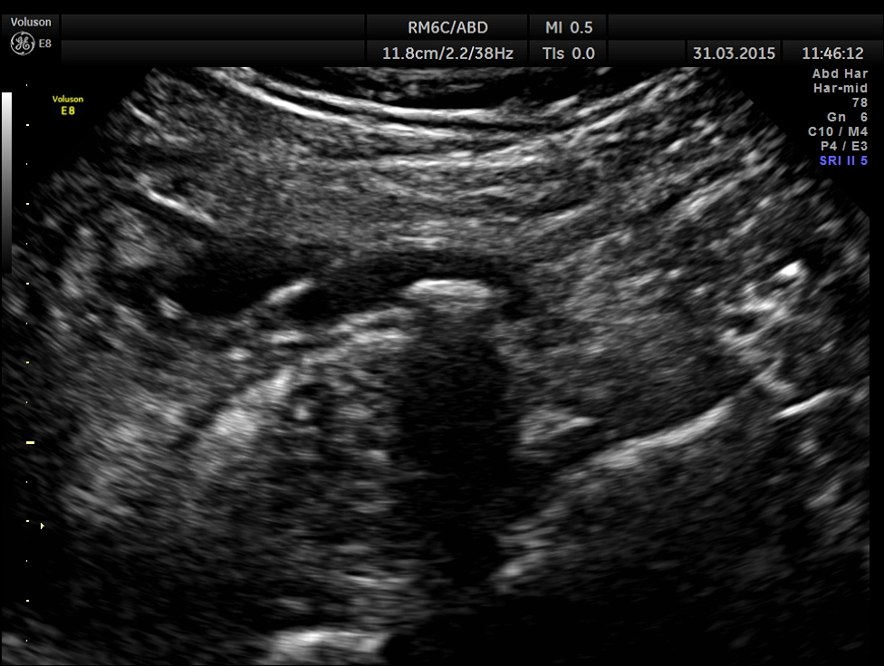
Scan ( with a regular abdominal probe ) over RIF shows an echogenic object with posterior acoustic shadowing within a dilated ” tube ” .
Can we jump to the diagnosis of ureteric calculus now ?
Is there an incongruity between the size of the calculus and the ” ureteric dilatation ” and the pelvi calyceal dilatation ?
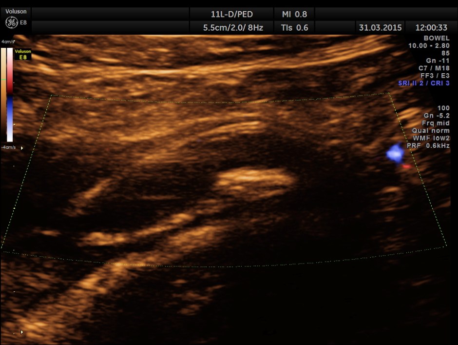
Colour Doppler shows vascularity of the wall . It was non pulsatile and non collapsible.
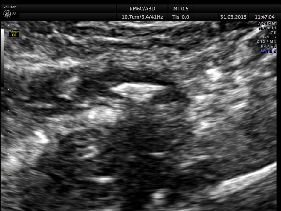
Now this looks more like an inflamed appendix with a prominent fecolith of size 11.4 mms , throwing a shadow.
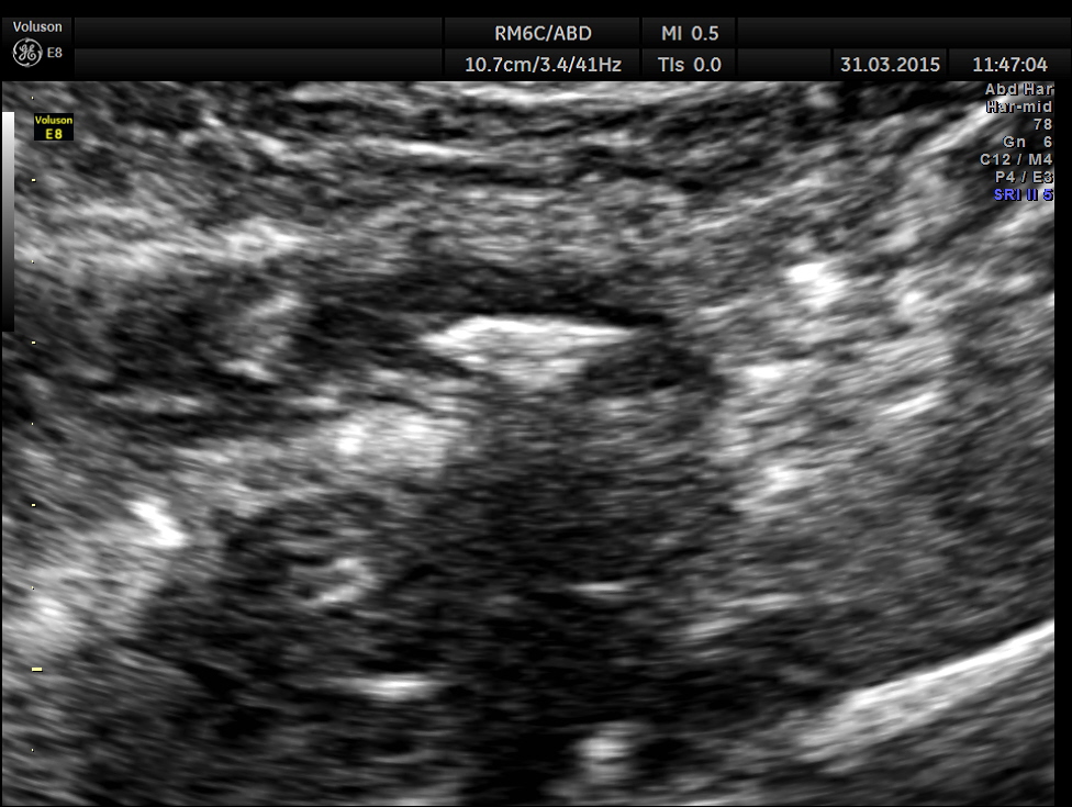
The following pictures are with a high resolution probe.
The following picture shows the long and short axis views.
Careful attempt to establish any continuity of the dilated ” tube ” to the ureter or dilated pelvis , showed that the dilated structure was separate from the right ureter .
A diagnosis of Acute appendicitis with fecolith was made . CT scan of the abdomen confirmed the diagnosis and after surgery the patient is doing well.
This patient had some misleading signs and symptoms . It is always better to establish the ” connection” between the dilated ureter and the kidney. Usually appendix is picked up better with high resolution transducers. But in this patient , it was well picked up with a routine abdominal transducer. The colour doppler was useful in this patient also.









Another good case Krishnan. Thanks.
LikeLike
meticulous USG & Doppler are very useful.
LikeLike
We presented cost-effectiveness of abdominal ultrasonography in appendicitis at the 45th AIUM annual convention on March 13,2001(JUM20:567,2001) from NMC,Rangpur,Bangladesh.
LikeLike