This was a 95 year old man , with Type II Diabetes Mellitus and Mild Systemic Hypertension . He came for complaints of urge incontinence of 3 months duration.
He had undergone an ultrasound examination 10 years ago for frequency and hesitancy and was found to have benign prostatic hypertrophy . He was started on oral alpha blockers and after 3 months he stopped that as he was symptomatically better. He also had gallstones at that time. At present he was on oral hypoglycaemic drugs and anti hypertensive. His random blood sugar was around 250 mgm/dl and his BP was 170/80 mms of Hg.
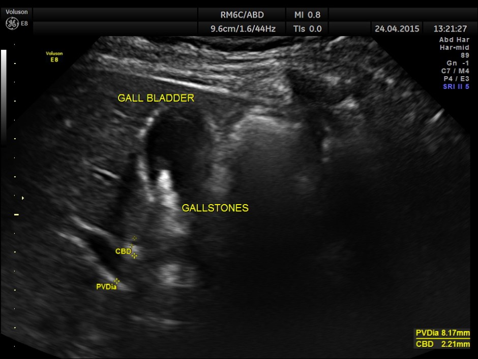
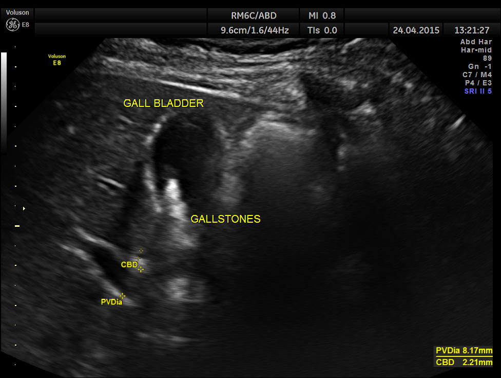
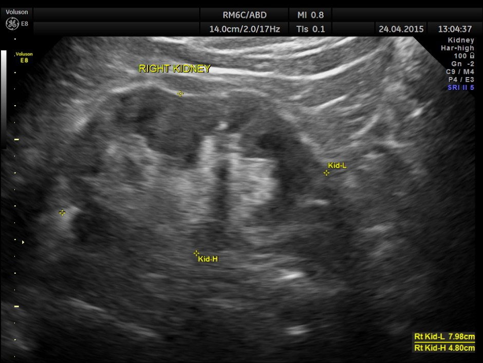
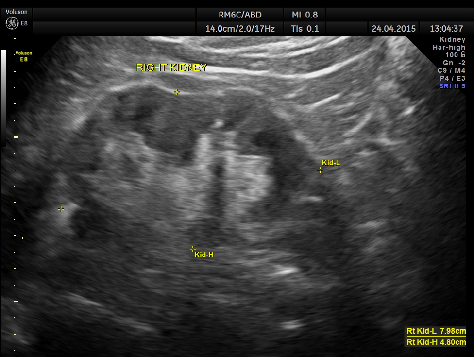
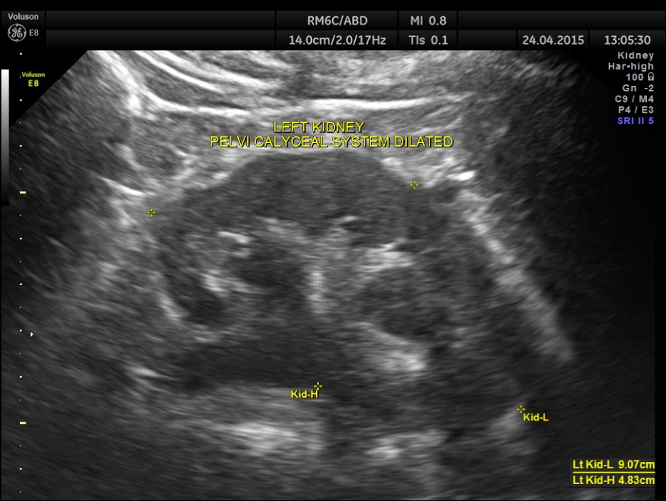
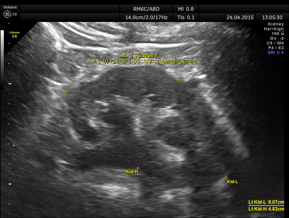
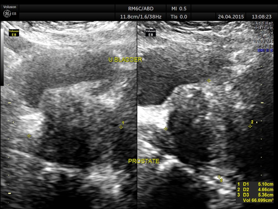
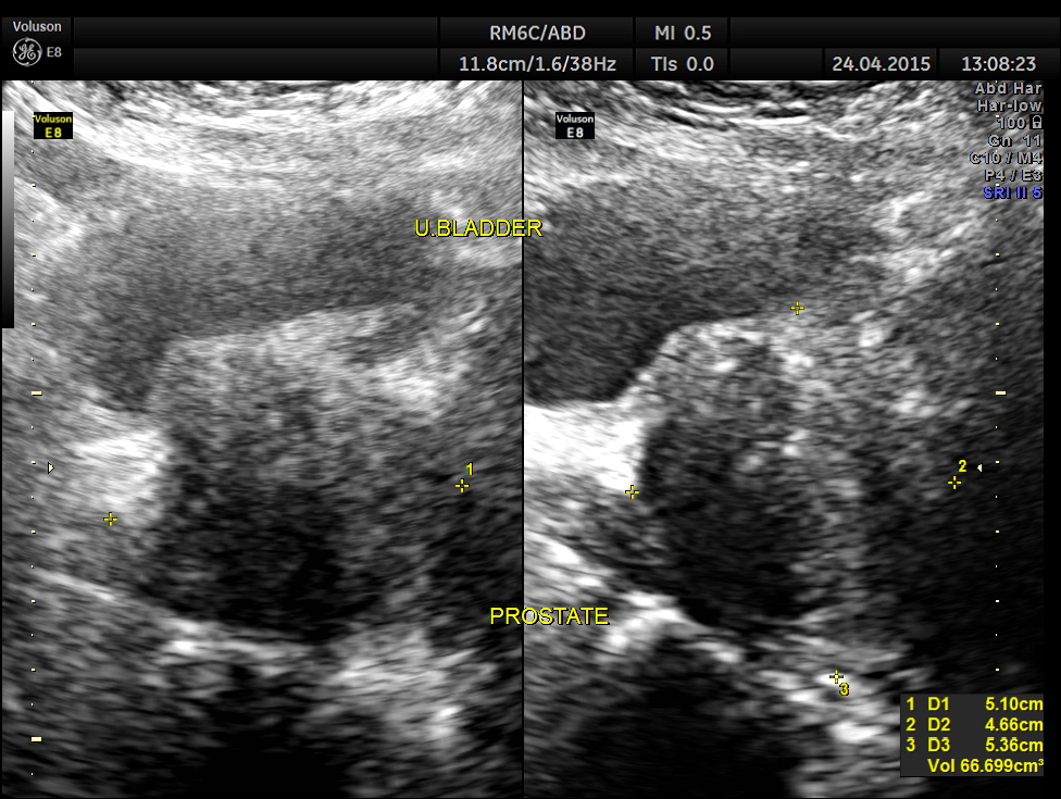
His ultrasound at present showed :
Gallstones were seen.
The kidneys show mild pelvi calyceal dilatation.
Prostate shows moderate hypertrophy with a volume of 66.6 cc.
Scan of the urinary bladder in a more cephalic angle shows the following :
A large calcification in the urinary bladder – ? large urinary bladder stone , calcified median lobe of the prostate, or a calcified mass within the bladder .
3D tweaking looks more like a large stone.
Superior angling shows a multi cystic pelvic mass – ? bladder diverticulae
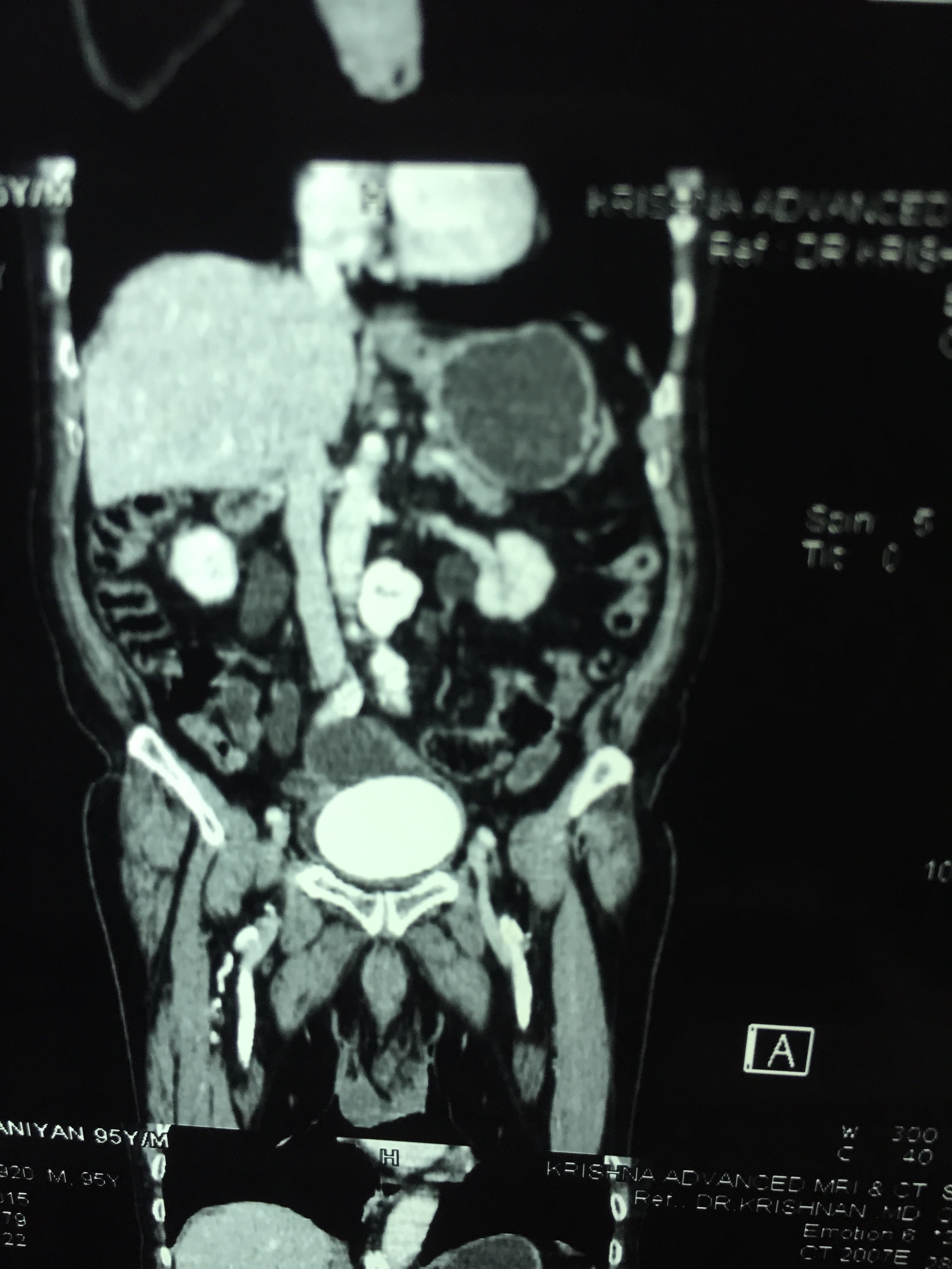
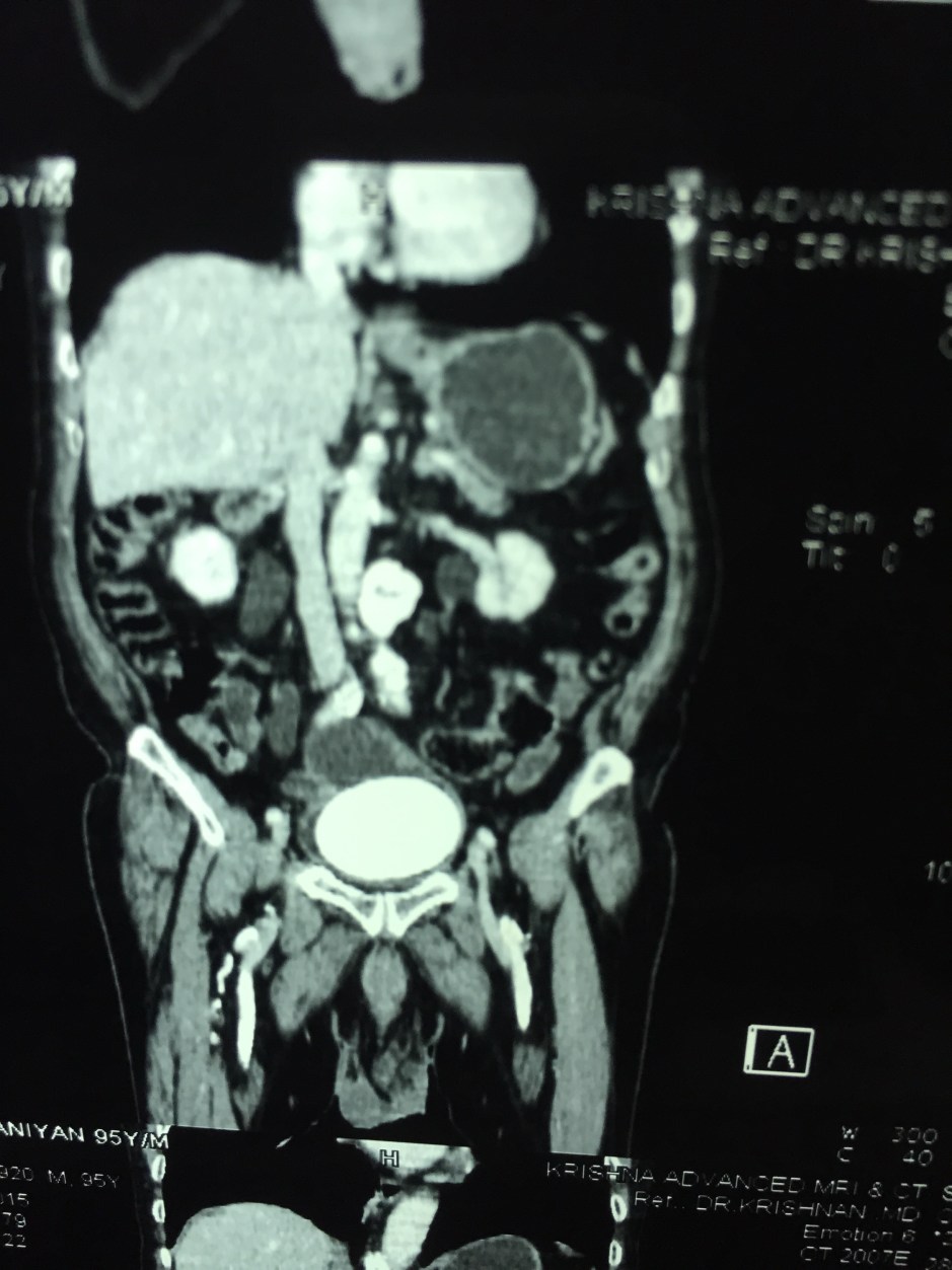
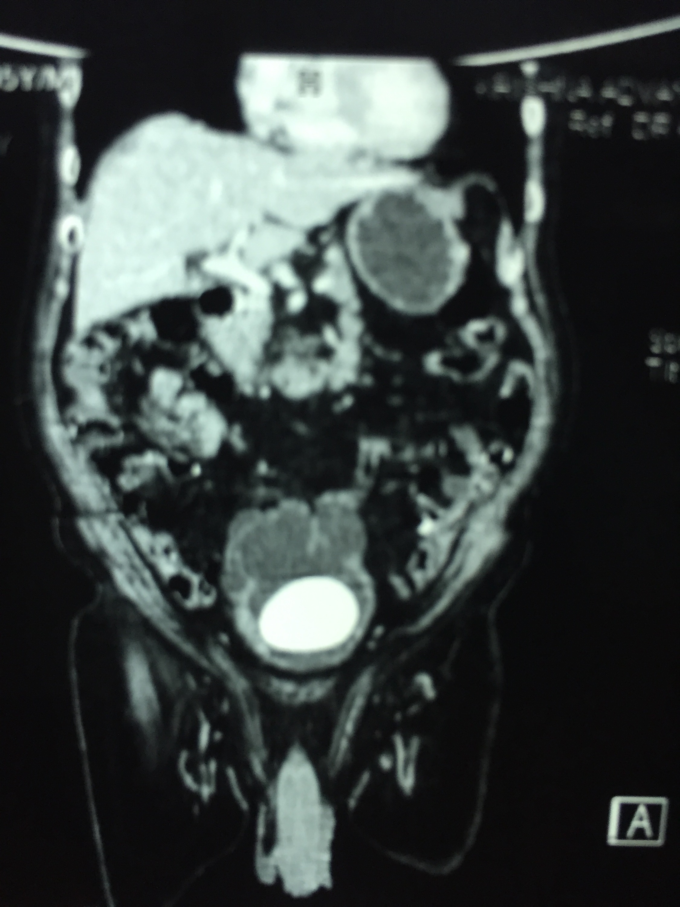
This was referred for a CT scan and a urological consultation.
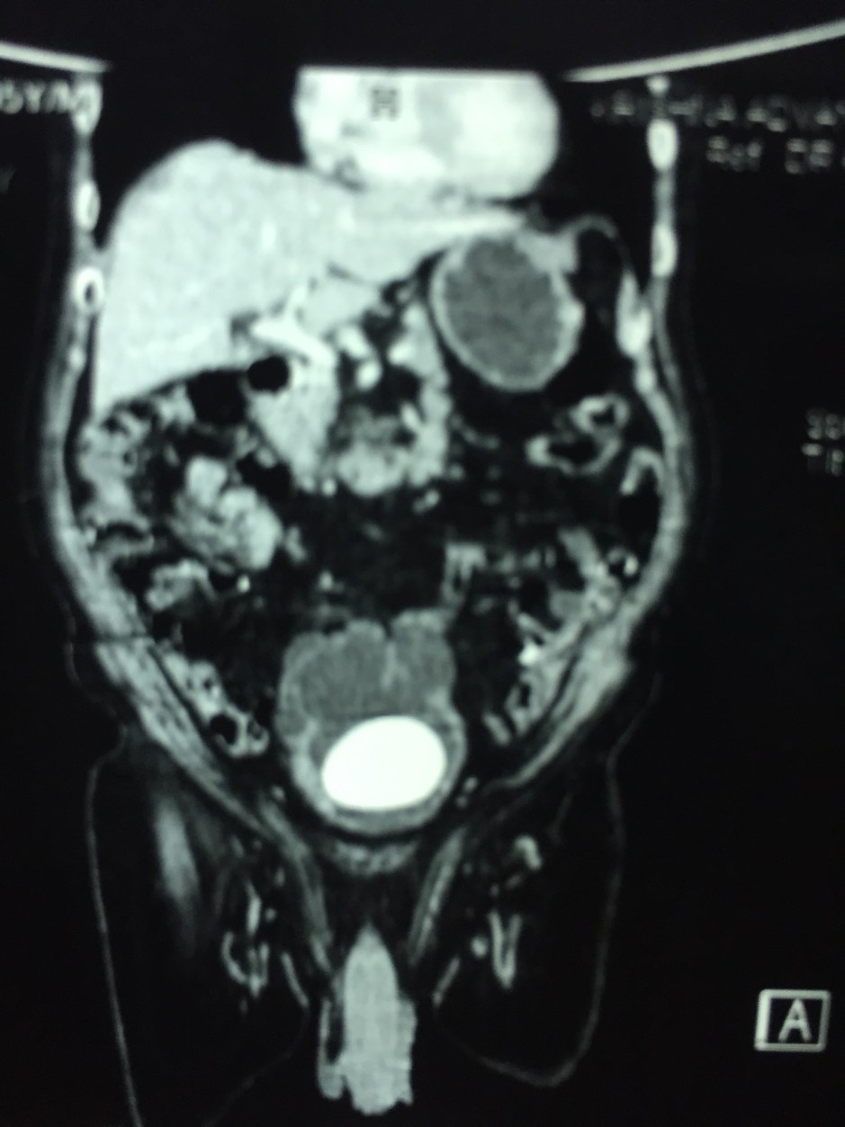
CT scan confirmed the ultrasound findings :
LARGE CALCULUS IN THE URINARY BLADDER WITH MULTIPLE DIVERTICULAE IN THE BLADDER “
The urologist suggested removal of the large calculus and later to re assess the prostate. The patient is a bit reluctant considering his age and at present is still thinking over it.
The X-ray and the CT scan pictures are given below.















At 95, I can imagine his reluctance. Thanks for another interesting case Krishnan.
LikeLike
Enthusiastic
LikeLike