This was a 30 year old lady , with history of consanguinity ; 2nd gravida , 1st child normal ; she has never gone for an ultrasound examination in this pregnancy and was sent by her consultant to a different centre for evaluation . She was found to have hydrocephalus and was referred to our clinic for 2nd opinion.
The following images were obtained.
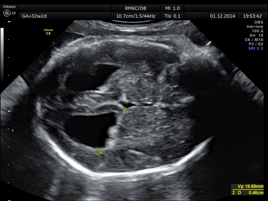
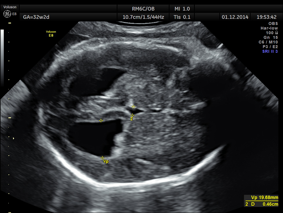
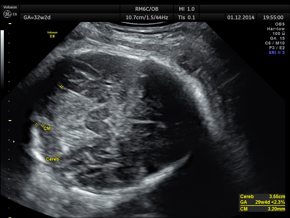
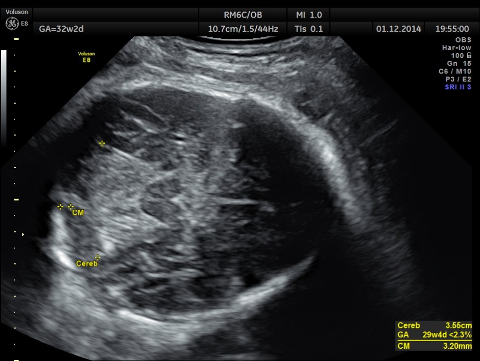
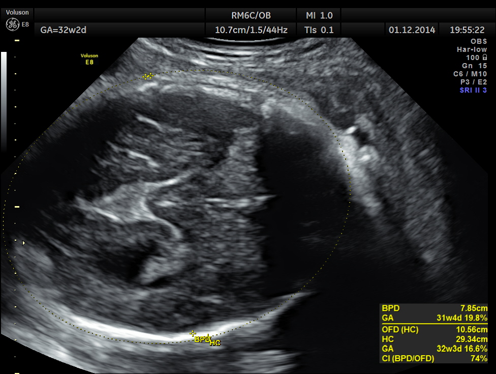
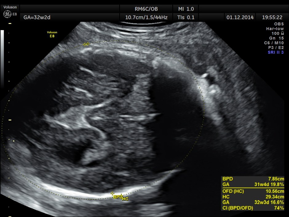
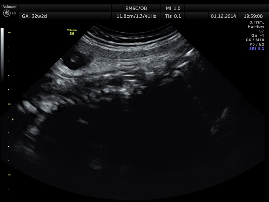
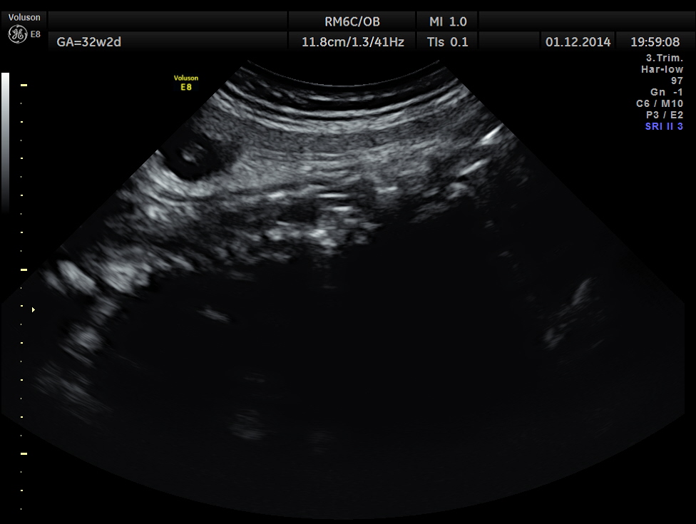
Hydrocephalus is seen ; Cisterna magna appeared somewhat compressed.
3D view of the same.
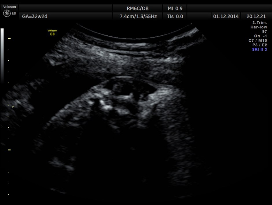
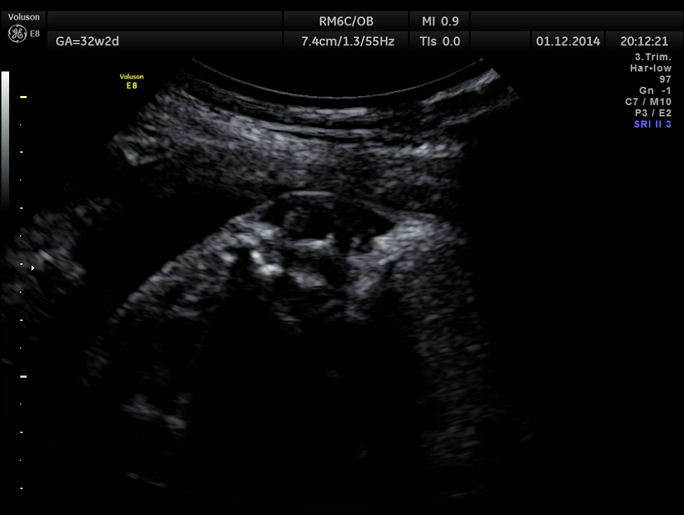
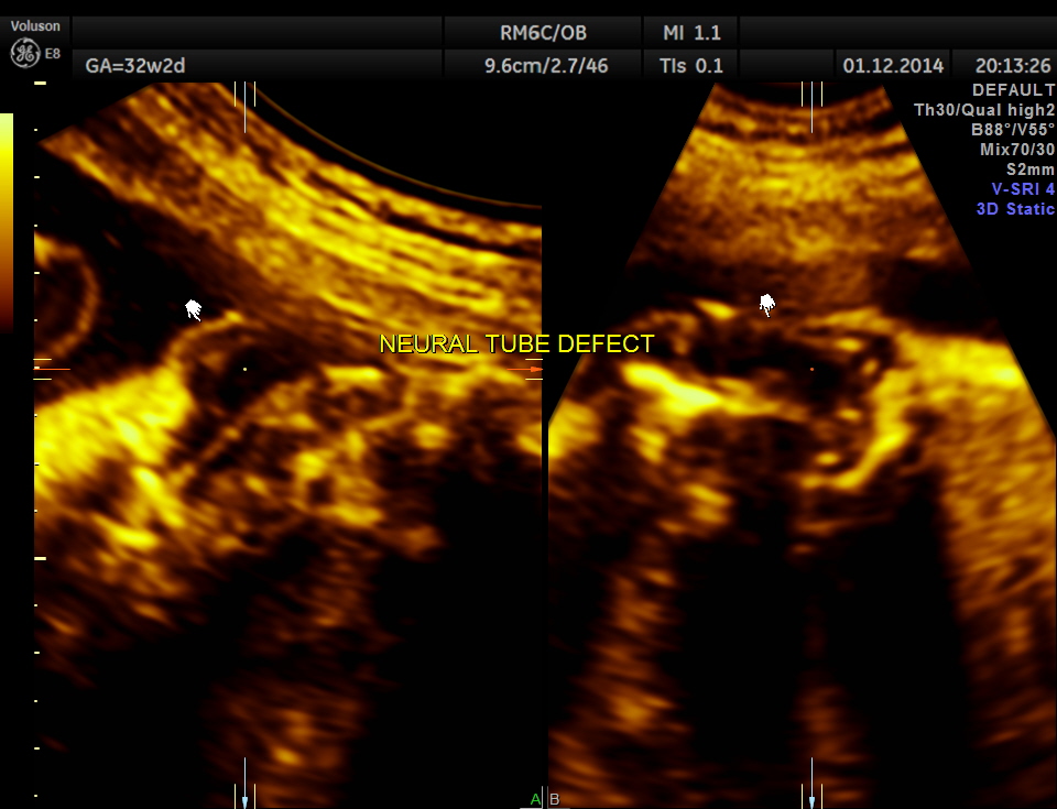
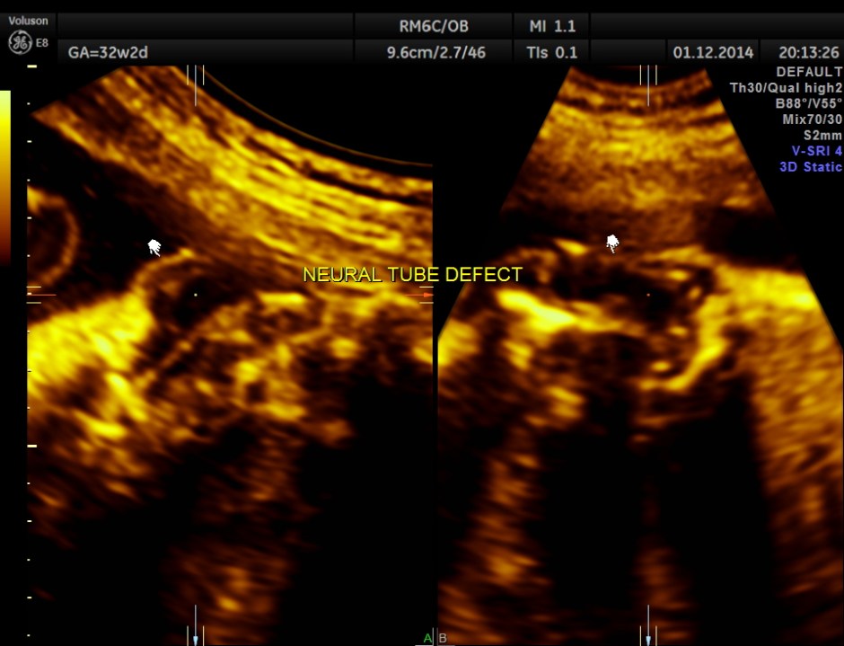
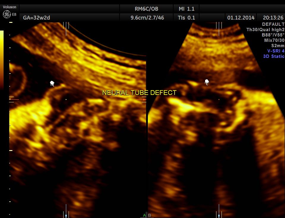
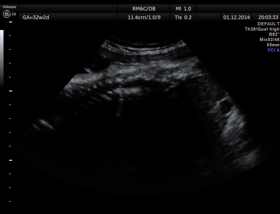
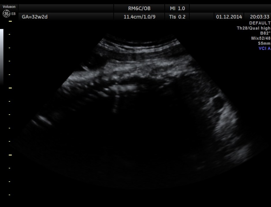
Careful examination revealed a neural tube defect with meningo myelocele at the lumbo sacral level.
Spinal deformity was also noted.
Such late detections are very sad and disheartening.
From the ultrasound point of view , we should always look carefully at the spine , in all the cases of hydrocephalus.
Patients should be encouraged to undergo a scan before 20 weeks , to detect neural tube defects , so that they can be offered medical termination .
Ultrasonologists should train themselves to pick up neural tube defects , even earlier.
Prevention strategies should become government policies.
Since the late 20th century, the incidence of myelomeningocele has undergone a significant reduction in the United States and worldwide. This decline is related to the increasing availability and accuracy of prenatal diagnosis, along with the option for early pregnancy termination and the introduction of primary prevention in the form of folic acid therapy in the periconceptual phase.
Studies demonstrating a reduction in the frequency of spina bifida with folic acid supplementation during pregnancy are accumulating, with reduction reported on the order of 50%.
Bell and Oakley reported that current worldwide programs of folic fortification of wheat and maize flour have resulted in an annual worldwide decrease of about 6600 folic acid-preventable spina bifida and anencephaly cases since 2006. They noted that the pace of preventing these serious birth defects could be accelerated if more countries were to require fortification of both wheat and maize flour and if regulators were to set fortification levels high enough to increase a woman’s daily average consumption of folic acid to 400 mcg. The US Preventive Services Task Force Recommendation remains 400-800 mcg of folic acid daily.
However, the metabolism of folic acid appears to be abnormal in affected patients, suggesting that spina bifida may result from an inherited defect rather than strictly from a deficiency.
High intake of folic acid may mask the anemia of vitamin B-12 deficiency and allow neurologic damage to progress untreated, so widespread folic acid supplementation has been recommended with caution, but in pregnancy it has had gratifying benefits. Improved understanding of the genetic factors involved in spina bifida could better allow its prevention.
The following are a few links about management and about some resources available in India.
http://emedicine.medscape.com/article/311113
http://spinabifidafoundation.org/ —
111 A Aradhana
G D Ambekar Marg , Dadar East
Mumbai, Maharashtra 400014
ph: 919820306107
alt: 919833905977
santosh@spinabifidafoundation.org
Institute for Child Development (ICD) is a trusted name in the field of Child Development and Childhood Disability. It is the brainchild of a group of Professionals working with children with Neurodevelopmental Disorders and Neuromuscular Diseases. It is the only Pediatric Habilitation Centre in Delhi, India which works exclusively for High Risks Infants, Children with Brain Injury, Delayed Milestones and Developmental Disabilities. The specialized developmental pediatric Centre works as out patient Department and provides holistic Management.
The organization has five different projects to cater the need of children with delayed milestones or childhood disabilities. Children in the age group of 0-18 years are the regular beneficiaries. The five programs are as:
Centre Based Intervention Project
- Home Based Intervention Project (In Delhi and NCR only)
- Community Based Intervention Project (10 Km radius from ICD)
- Regular School Based Intervention Project (In Delhi and NCR only)
- Outreach Project-Associated Centre (Initially in North India, East India and North-East India only











