This was a 51-year-old gentleman , who has Type I DM , detected when he was 26 years. He was detected to have chronic kidney disease , 12 years later , which was progressive and 4 years later he underwent renal transplant ( donor being his wife). After that he is stable with a good glycemic control and his renal parameters have remained normal since then.
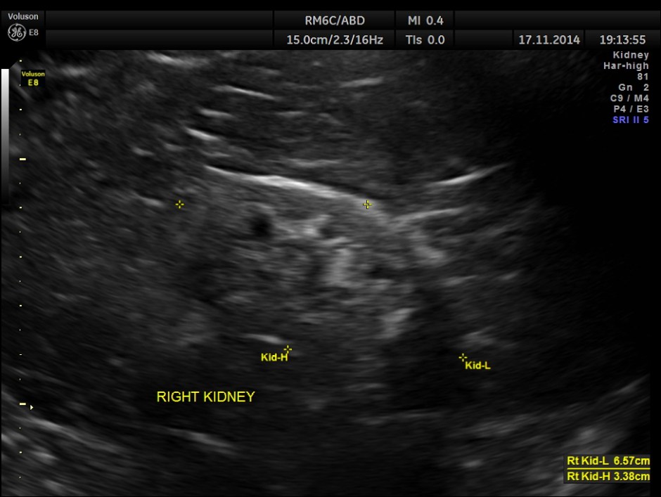
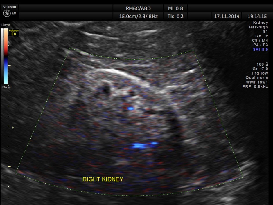
The following pictures show the native kidneys – shrunk with loss of renal architecture , with poor flow seen in Power Doppler.
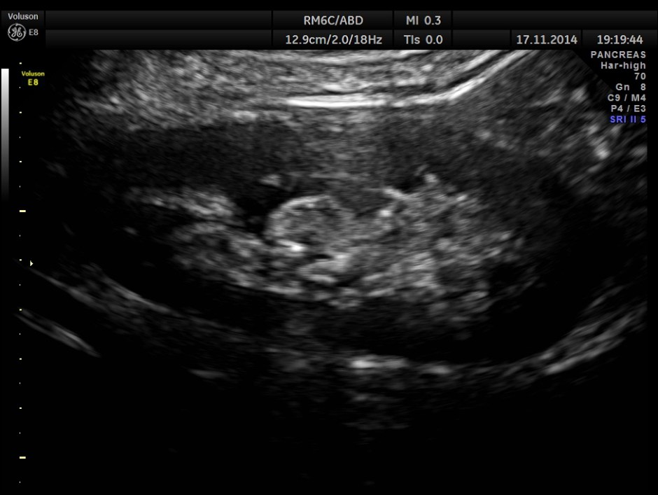
The following pictures show the transplanted kidney in the Right Iliac Fossa, with normal architecture, good Power Doppler flow and normal Spectral Doppler values.
This case has no diagnostic challenges. But this is a feel good post . Enjoy.







The best news being for the patient, of course!
LikeLike
Great
LikeLike
a good news for doctors also.
LikeLike