This was a 48 year old gentleman , who was evaluated for generalised tiredness. His complete blood count showed pancytopenia and clinically he had mild splenomegaly.
Ultrasound examination revealed the following findings :
Hypo echoic linear spaces are seen around the gallbladder.
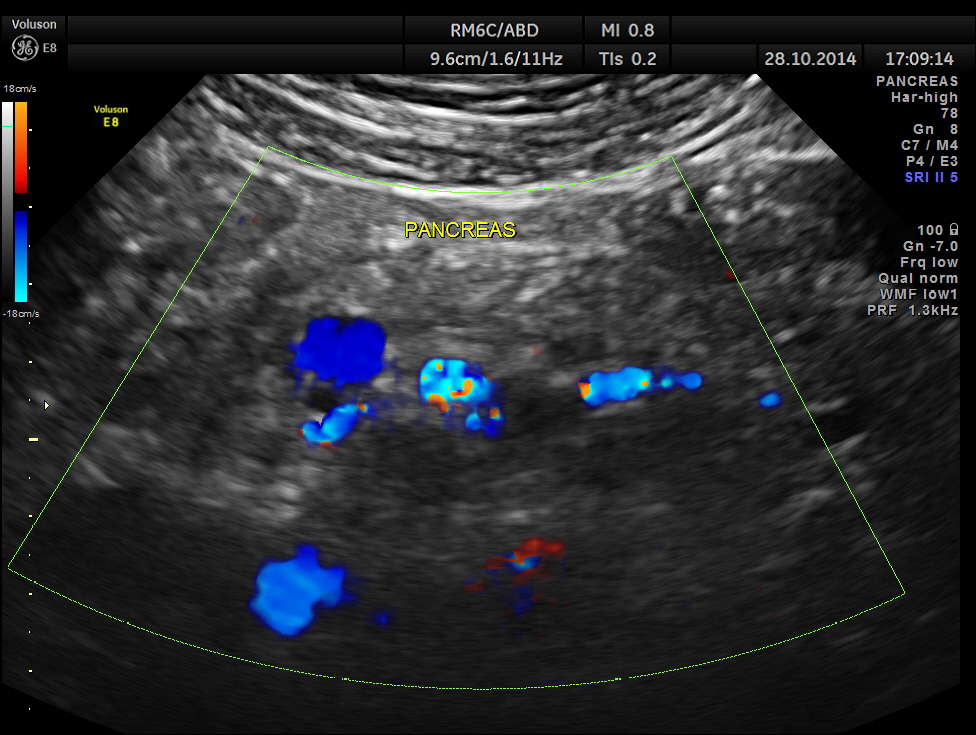
Colour flow imaging of the same
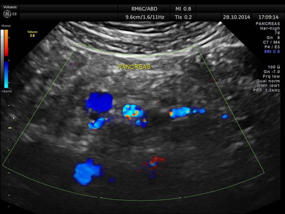
STIC HD flow image.
Main portal vein show flow reversal ( blue colour ) – centri-fugal flow suggestive of portal hypertension.
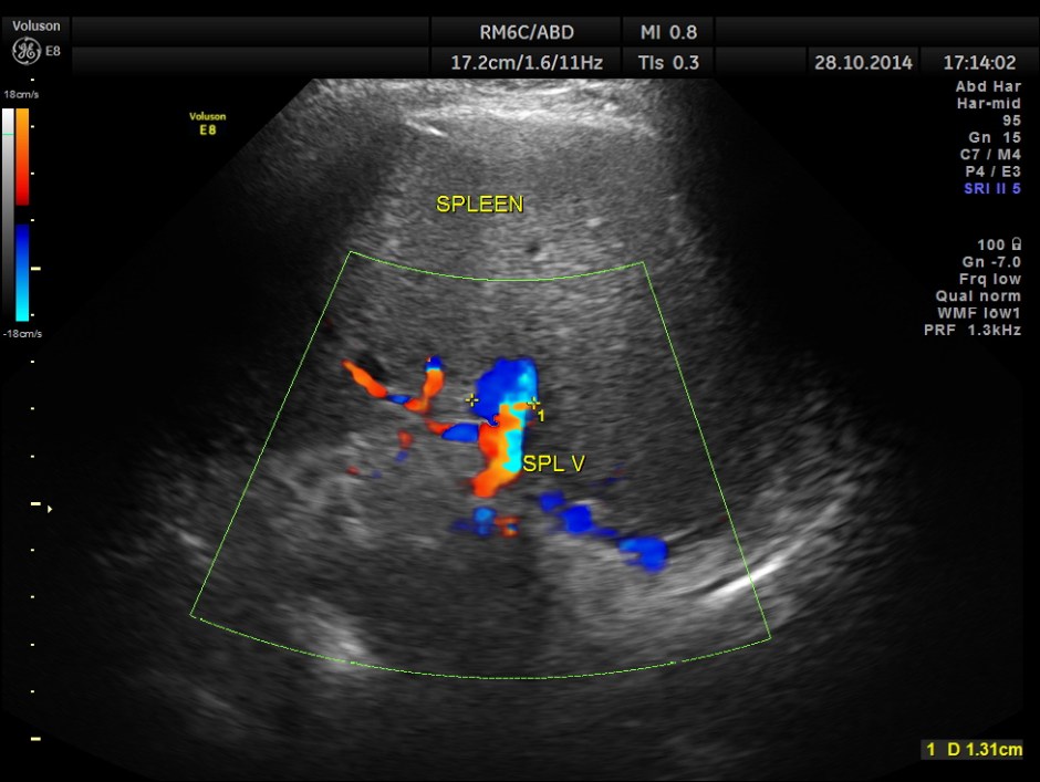
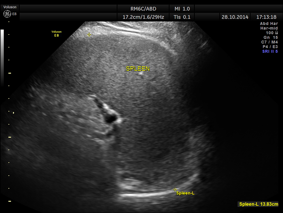
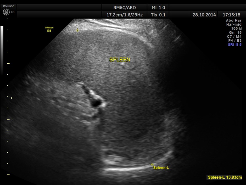
Mild splenomegaly with mildly dilated splenic vein is seen.
Epigastric varices are also seen.
This patient has cirrhosis of liver with portal hypertension – flow reversal of main portal vein , splenomegaly , mildly dilated splenic vein and varices around the gallbladder.









