This was a 42-year-old gentleman , a known case of Insulin dependant Diabetes Mellitus. He was being evaluated by his physician for loss of weight and abdominal pain of a few months duration.
His abdominal ultrasound pictures are given below.
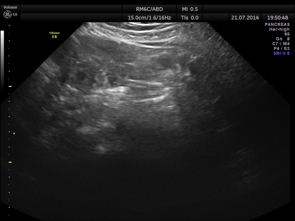
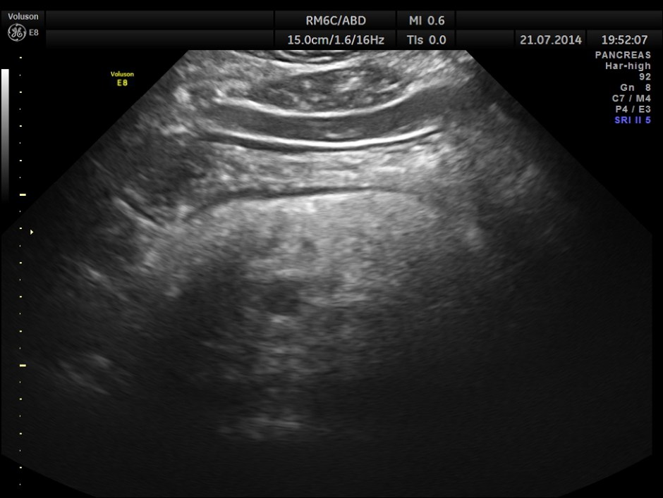
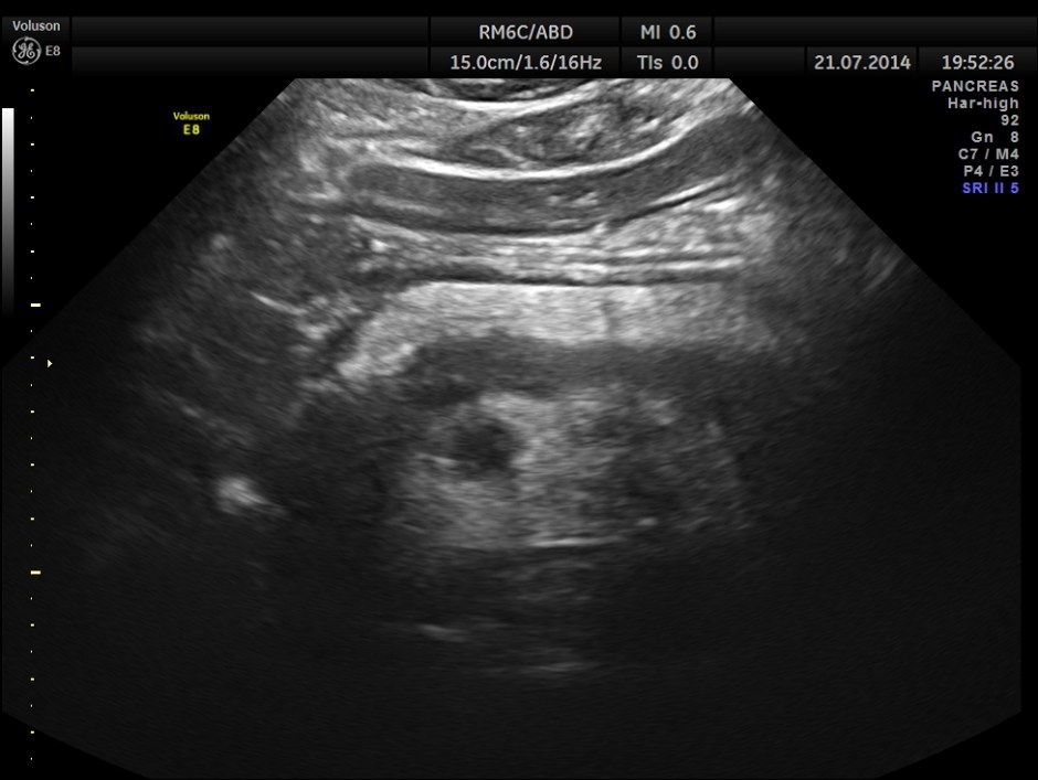
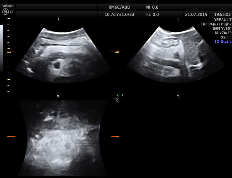
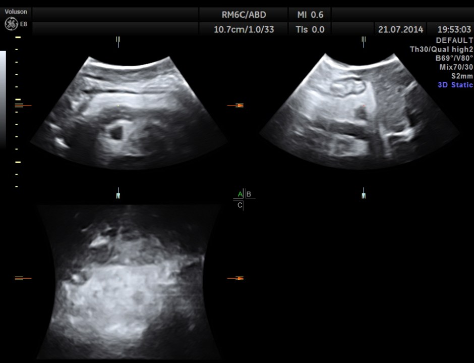
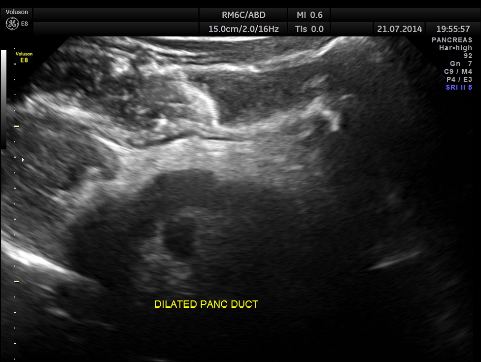
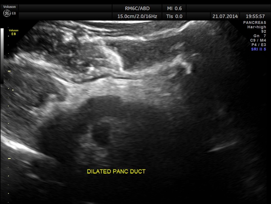
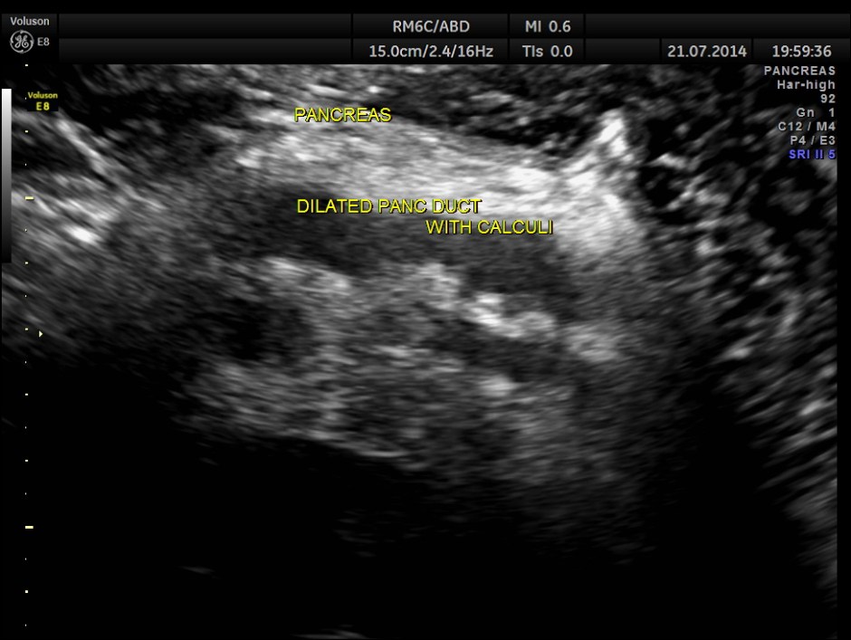
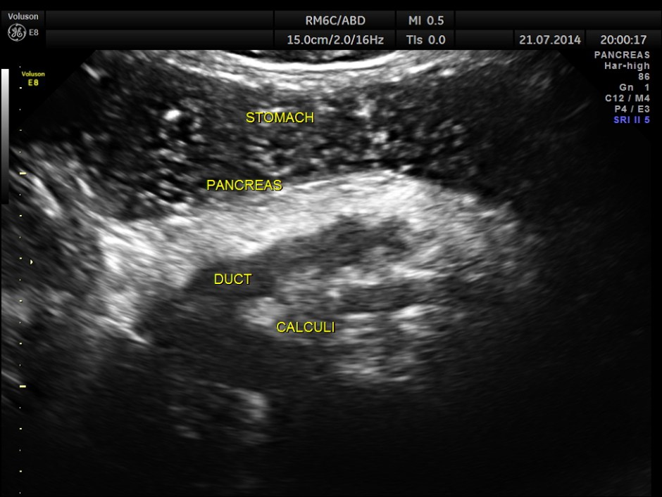
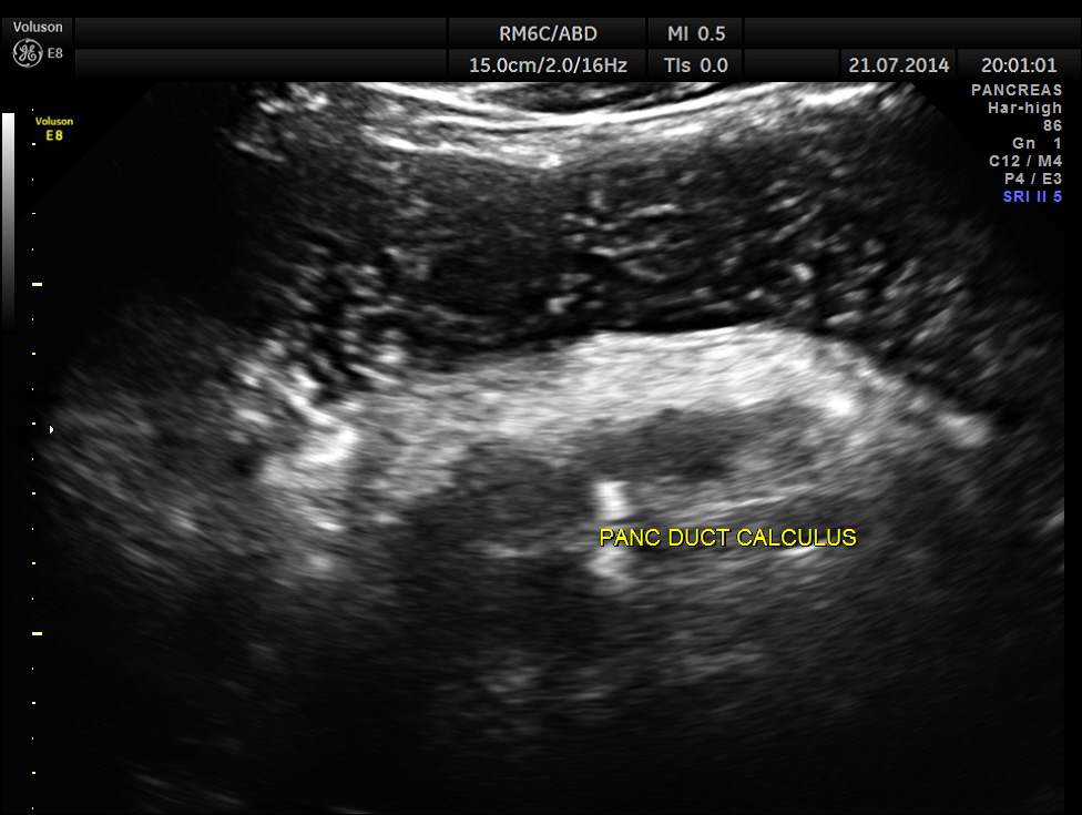
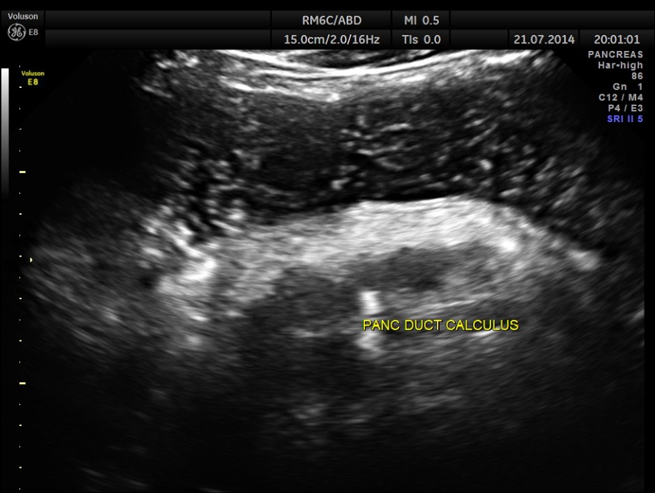
The following pictures show the pancreas.
Pancreatic duct is dilated prominently.
Pancreatic duct dilated.- 12.9 mms.
Pancreatic calculi are seen.
This patient further underwent Upper G.I. endoscopy , which was normal and later MRI scan , which confirmed the ultrasound findings. He was conservatively managed and is clinically better.
This patient had no history of alcoholism . He does not fit into a classical Tropical Pancreatitis or Fibrocalculous Pancreatic Diabetes.
Diagnostic criteria for fibro-calculous pancreatic diabetes (FCPD)
1. Occurrence in a “tropical” country.
2. Diabetes by WHO Study Group [1] criteria.
3. Evidence of chronic pancreatitis: pancreatic calculi on X-ray or at least three of the following:
a) Abnormal pancreatic morphology by sonography
b) Chronic abdominal pain since childhood
c) Steatorrhoea
d) Abnormal pancreatic function test.
4. Absence of other causes of chronic pancreatitis. i.e. alcoholism, hepatobiliary disease or primary hyper parathyroidism
This patient did not have any abdominal pain until recently .But the other features would probably fit into the diagnosis.
http://emedicine.medscape.com/article/181554-overview#showall

















good images and informations, let us wait for long-term follow-up.
LikeLike
Very informative, thank you for sharing.
LikeLike
Interesting.
LikeLike
Very informative and beautiful pictures of USG..kindly post the follow up findings also..regards..Dr Nasar
LikeLike
Normal pancreatic duct diam. is upto 2mm CAUTION carcinoma may mimic pancreatitis & tuberculosis.
LikeLike