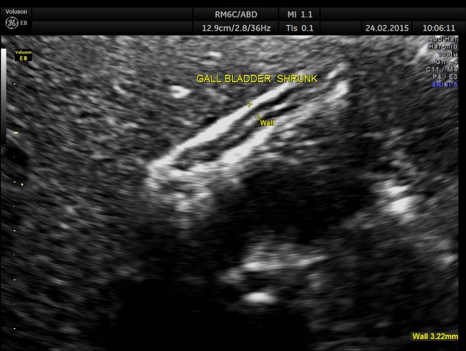
This was a 23 year old young lady , who was evaluated elsewhere for menstrual irregularities . She was reported to have a gallstone . She had no digestive complaints. She went for a 2nd and 3rd opinions, where the gallstone was not seen.She also underwent a CT scan , which reported a shrunk gall bladder and gallstone was not seen. She came to me for another opinion. She was in an over night fasting status ( almost 14 hours after her last meal or drink ).
The following is what was seen.
Completely collapsed and shrunk gall bladder in spite of over night fasting.
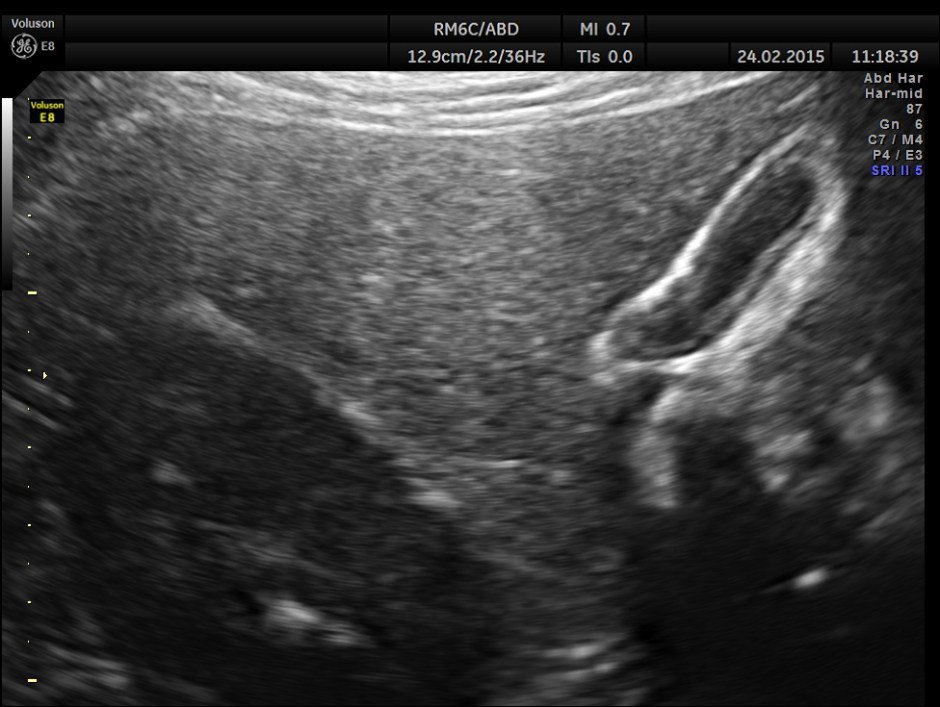
The patient was asked to take a fatty meal and report again and this was seen.The gall bladder has started to be filled up and was showing distension , contrary to what happens in a normal person.
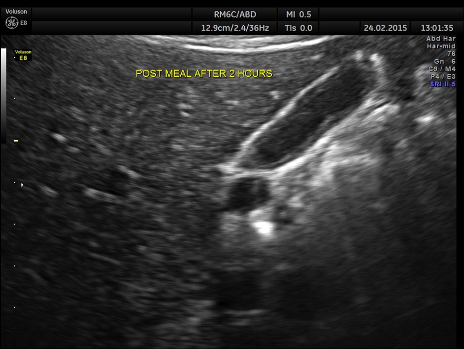
2 hours after the meal the gall bladder was still distended and no gallstone was visualised .
This patient probably had a functional gall bladder abnormality , asymptomatic at present.
Contrary to expectations she had a collapsed gall bladder in the fasting status and a partial filling up of bile after a fatty meal. As she had no symptoms , she was advised periodic follow up once in 6 months to start with.
The text book advised procedure to confirm functional gall bladder abnormality is CCK ( cholecystokinin) stimulated cholescintigraphy. But examining a patient after a fatty meal with ultrasound could be an alternative in places where this facility is not available or for cost effectiveness.
The following references would be of interest .
http://www.uptodate.com/contents/functional-gallbladder-disorder-in-adults
Multiple medications and medical conditions other than functional gallbladder disorder are associated with decreased gallbladder emptying and should be kept in mind when interpreting CCK-stimulated cholescintigraphy results . False-positive results can be seen with diabetes, celiac disease, obesity, cirrhosis, and several medications, including calcium channel blockers, oral contraceptives/progesterone, histamine-2 receptor antagonists, opiates, benzodiazepines, atropine, octreotide, and theophylline.
What is Sphincter of Oddi Dysfunction?
The sphincter of Oddi has three major functions: 1) regulation of bile and pancreatic flow into the duodenum, 2) diversion of hepatic bile into the gallbladder, and 3) the prevention of reflux of duodenal contents into the pancreaticobiliary tract. With the ingestion of a meal, the gallbladder contracts and there is a simultaneous
decrease in the resistance in the sphincter of Oddi zone.
The sphincter of Oddi consists of circular and longitudinal smooth muscle fibers surrounding a variable length of the distal bile and pancreatic duct. There are three discrete areas of muscle thickness, or mini sphincters: the sphincter papillae, the sphincter pancreaticus, and the sphincter choledochus.









functional GB dysfunction… I heard it for the first time & thanks for the nice demonstrative pictures
LikeLiked by 1 person
fatty meal sonography is practiced by us for many years
LikeLike
we have seen a hugely distended gb. upto right iliac fossa which mimicked an ovarian cyst
LikeLike
I have also seen once, when the tenderness was also only at RIF ; the surgeon thought of acute appendicitis and it turned out to be a grossly distended GB
LikeLike