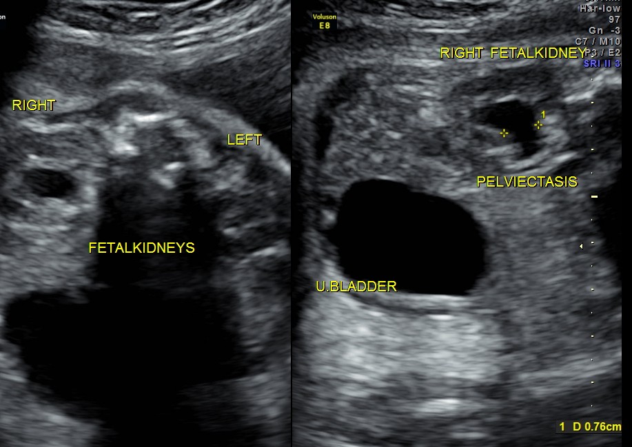
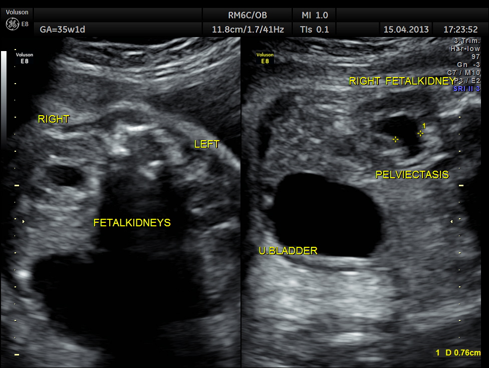
This was a 26-year-old lady with no history of consanguinity. The scan was done at 35 weeks of gestation.
Right fetal kidney shows mild pelviectasis.
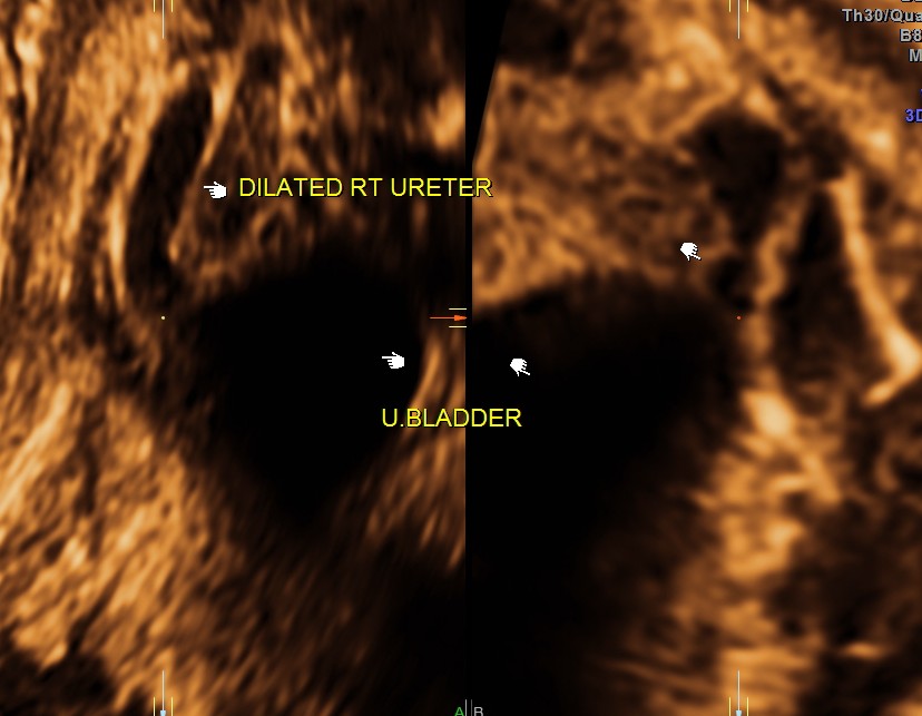
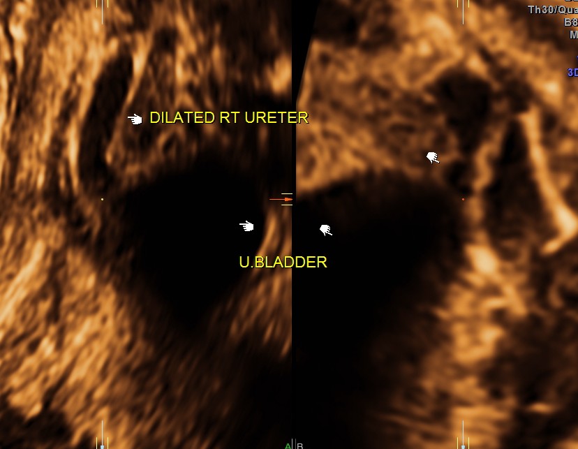
Rt proximal ureter is mildly dilated
3 d reconstruction shows an echogenic tissue at the junction of ureter and bladder.
rendered image of the same
Right sided hydro uretero nephrosis , with likely obstruction at right vesico ureteric junction.





We followed few fetal hydronephrosis postnatally by USG and radionuclide renography–one of them had surgery at age of 2months.
LikeLike