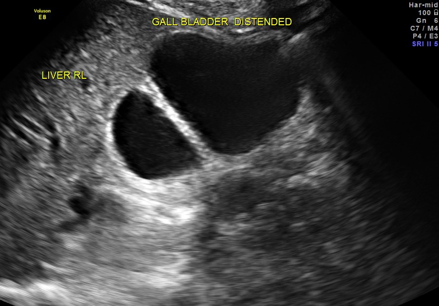
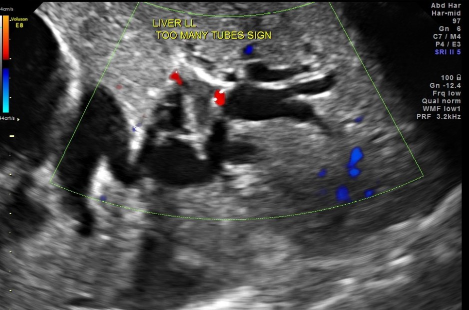
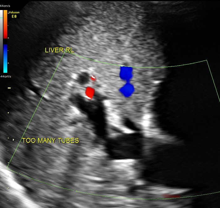
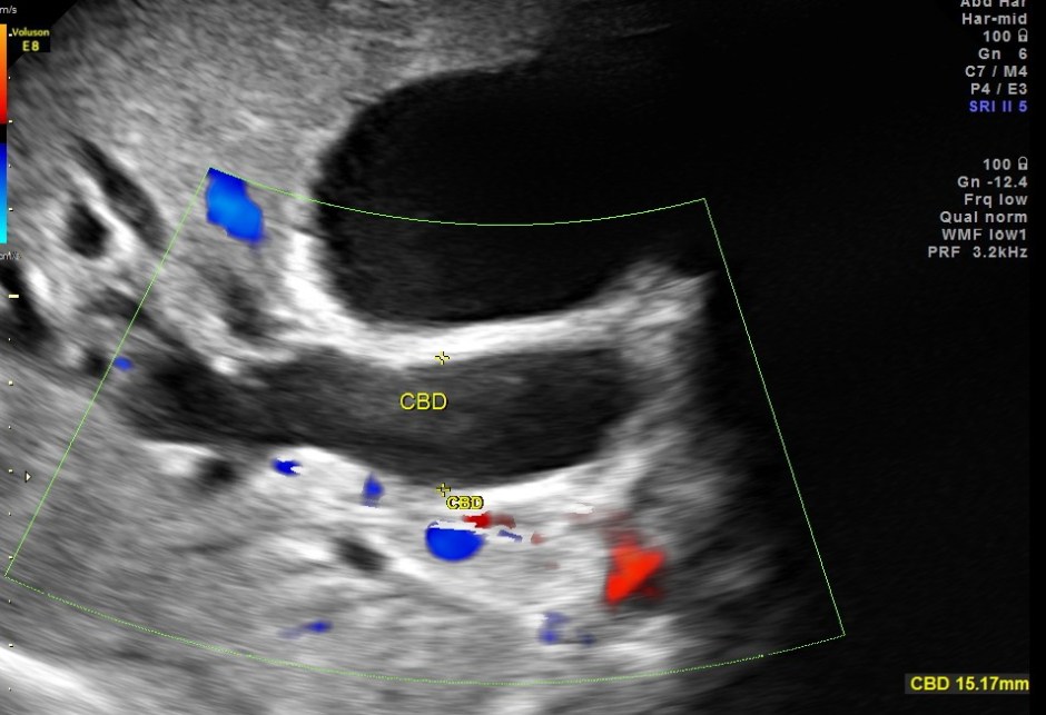
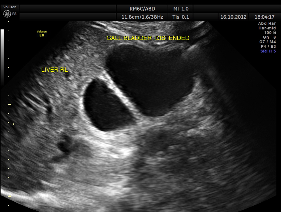
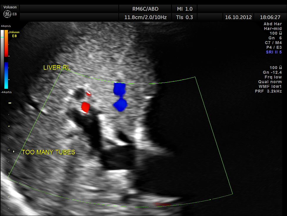
Courvoisier’s law (or Courvoisier syndrome, or Courvoisier’s sign or Courvoisier-Terrier’s sign) states that in the presence of an enlarged gallbladder which is nontender and accompanied with mild jaundice, the cause is unlikely to be gallstones. Usually, the term is used to describe the physical examination finding of the right-upper quadrant of the abdomen. This sign implicated possible malignancy of the gall bladder or pancreas and the swelling is unlikely due to gallstones.
This was a 55 year old man with history of jaundice and upper abdominal pain .








Nice pictures
LikeLike
Thanks
LikeLike
SO INFORMATIVE. THANKS Kriznan
LikeLike