This was a 20 year old lady , primi, has undergone 3 scans earlier at different centres; the last one was done 3 weeks ago and everything appeared normal till then . Now she was referred to rule out cardiac anomaly.
The following was seen :

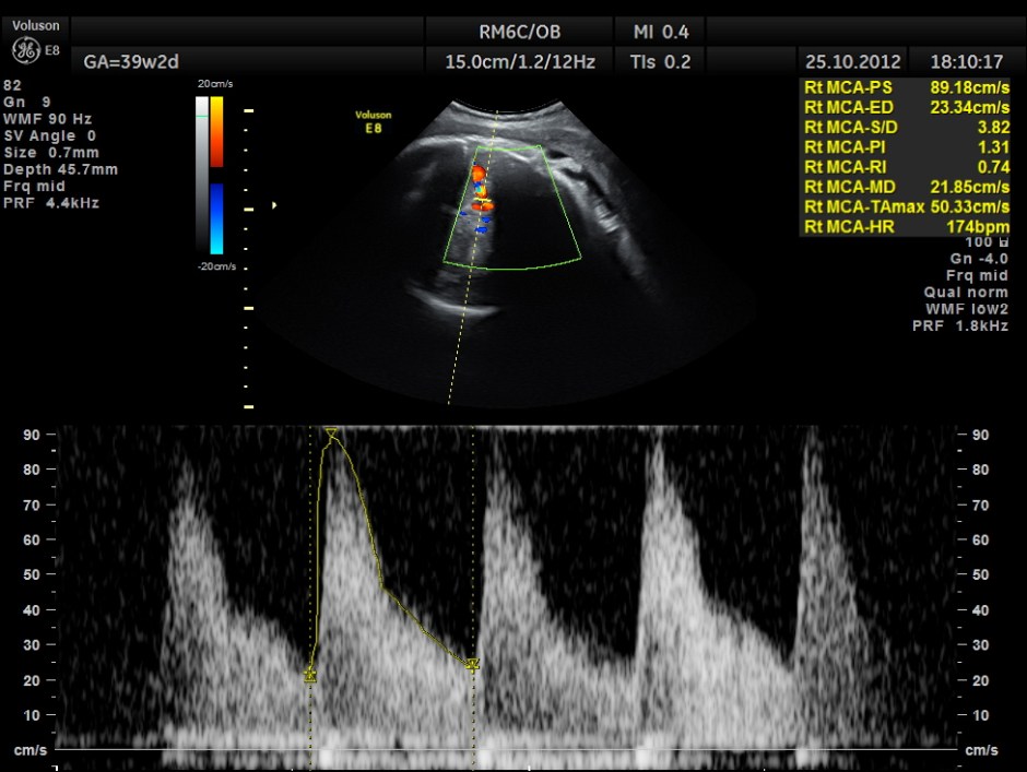
MIDDLE CEREBRAL ARTERY SHOWS HIGH PEAK SYSTOLIC VELOCITY OF 89.1 CMS/S ; M.O.M. WAS AROUND 1.59 SUGGESTIVE OF SEVERE FETAL ANEMIA
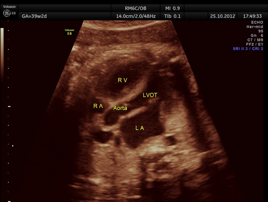
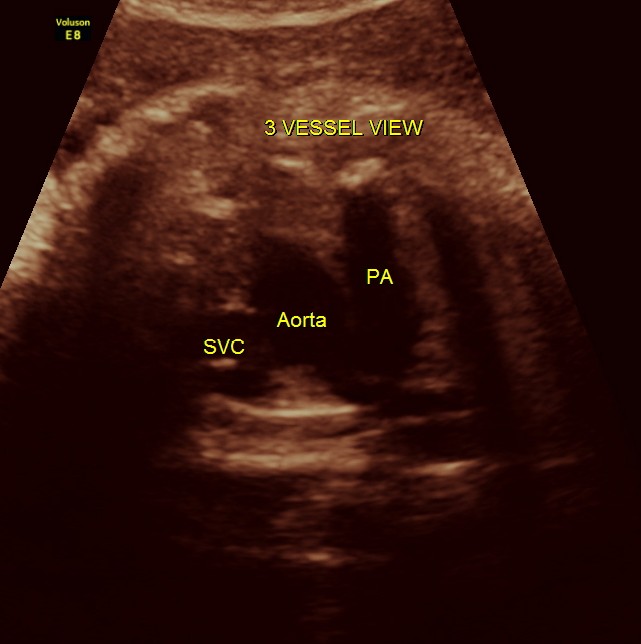
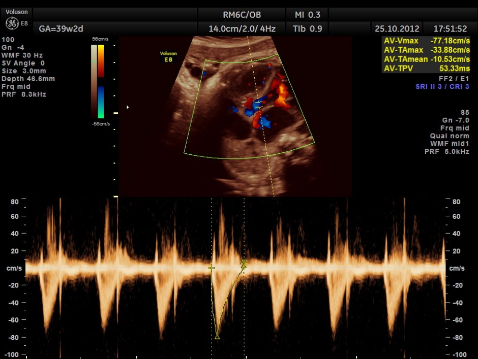
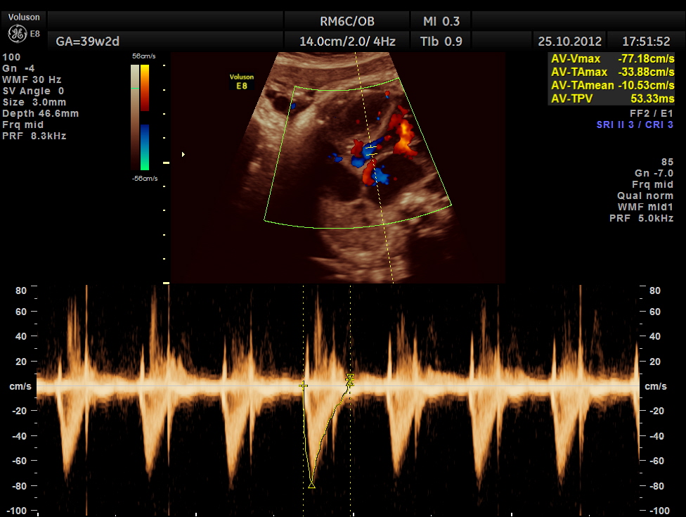
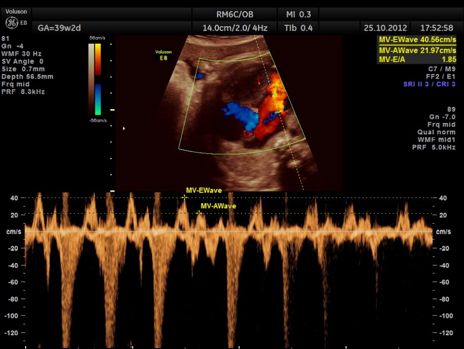
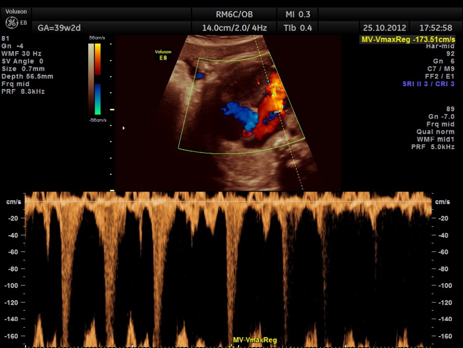
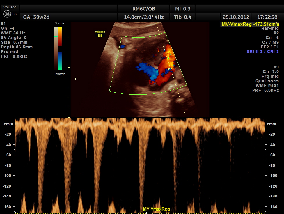
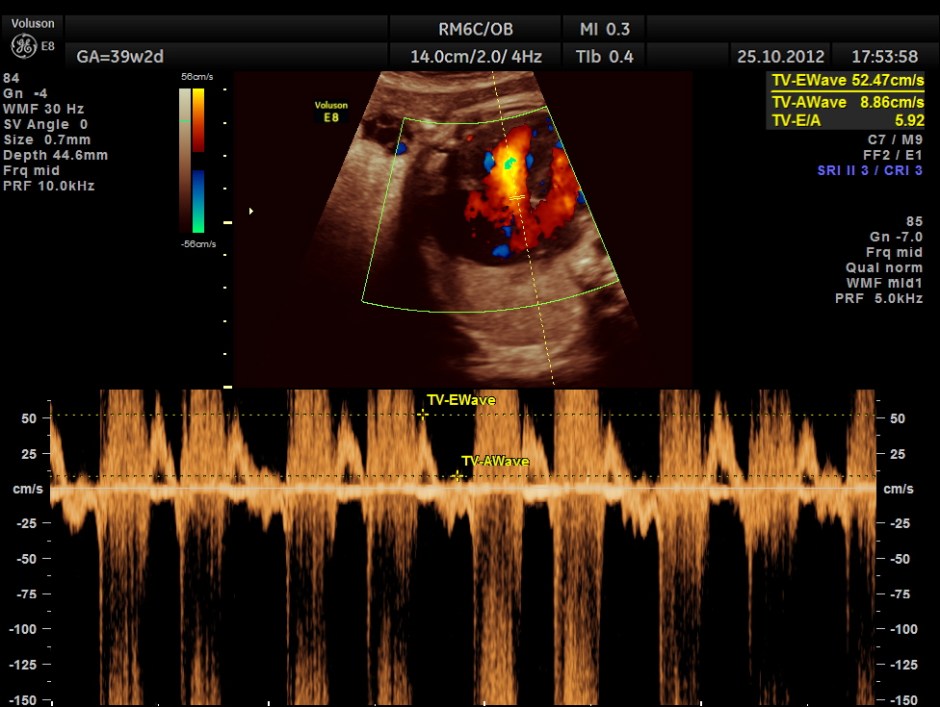
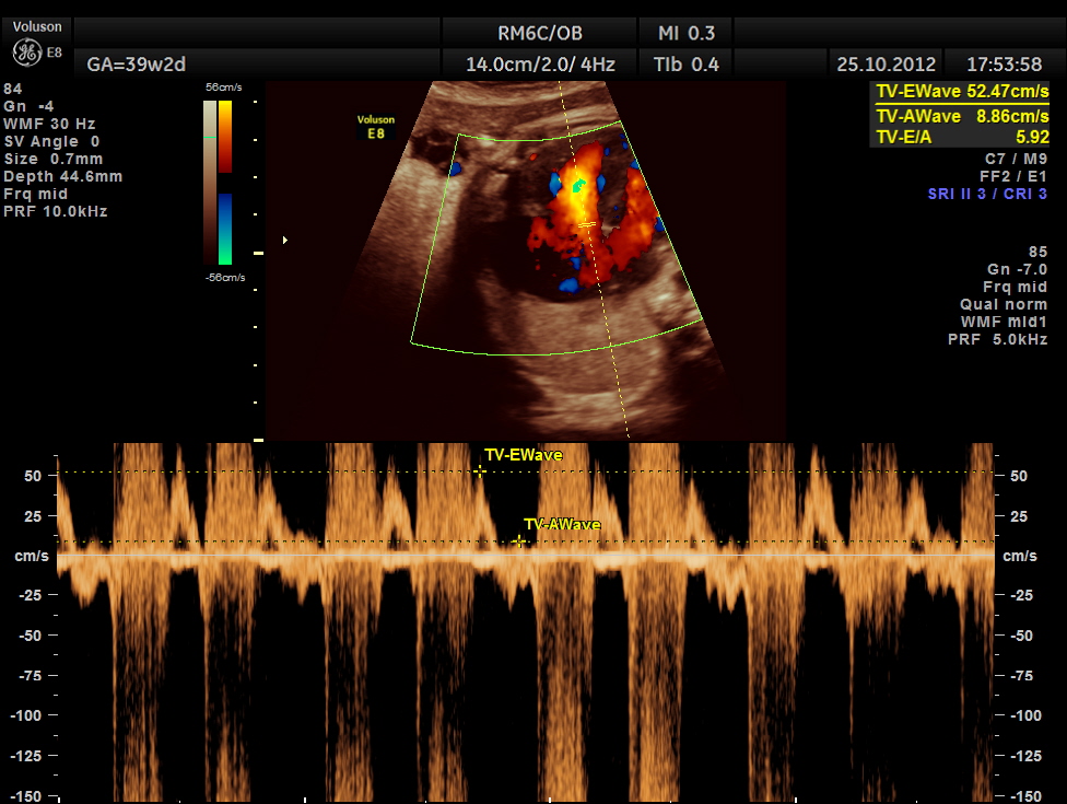
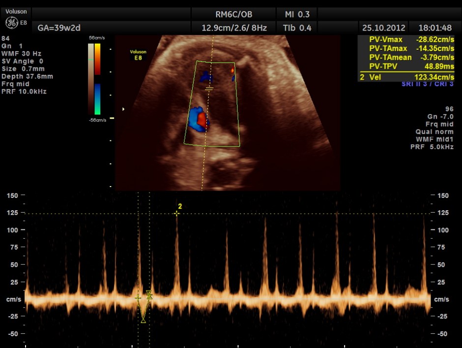
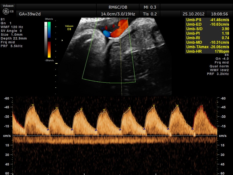
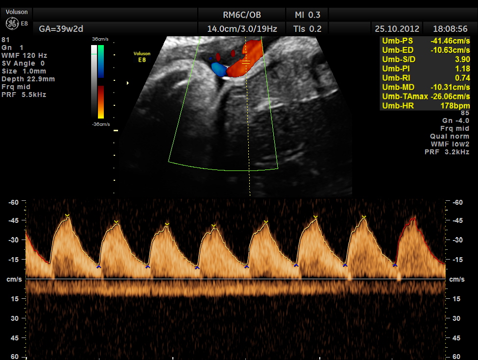
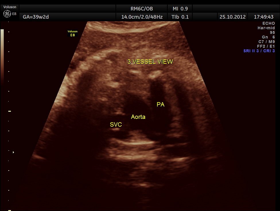
THIS FETUS HAD SEVERE FETAL ANEMIA WITH CARDIAC FAILURE LEADING TO CARDIOMEGALY WITH MITRAL, TRICUSPID AND PULMONARY REGURGITATION .NO OTHER OBVIOUS CARDIAC ANOMALY WAS MADE OUT . THE VENO ATRIAL , ATRIO VENTRICULAR AND VENTRICULO ARTERIAL CONCORDANCE APPEARED TO BE NORMAL; NO SEPTAL DEFECT WAS MADE OUT.
ALL THESE HAVE DEVELOPED WITHIN THE LAST 3 WEEKS .
AS GOOD NEONATAL MANAGEMENT WAS IMPERATIVE THE PATIENT WAS REFERRED TO A HIGHER CENTRE.














Krishnan,amazing,keep it up,I am following you,Narayanan.
LikeLike
Enjoying your posts,keep it up,KN.
LikeLike
Thanks sir
LikeLike
Krishnan, keep it up.
LikeLike
Thanks for all your comments
LikeLike