This was a 90 year old lady with complaints of progressive dyspepsia and aversion to food.
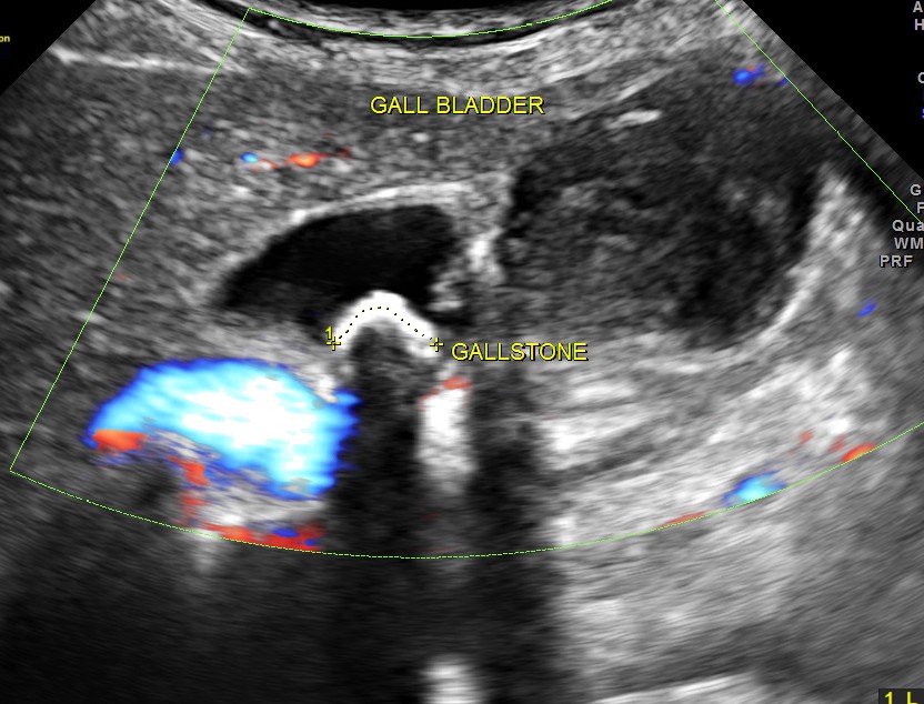
Ultrasound showed the following – Gallstone with irregular growth in the fundus of the gall bladder , above the phrygian cap.
3 D view of the same.
The fundus shows irregular growth and a gallstone.
No obvious liver secondaries seen.
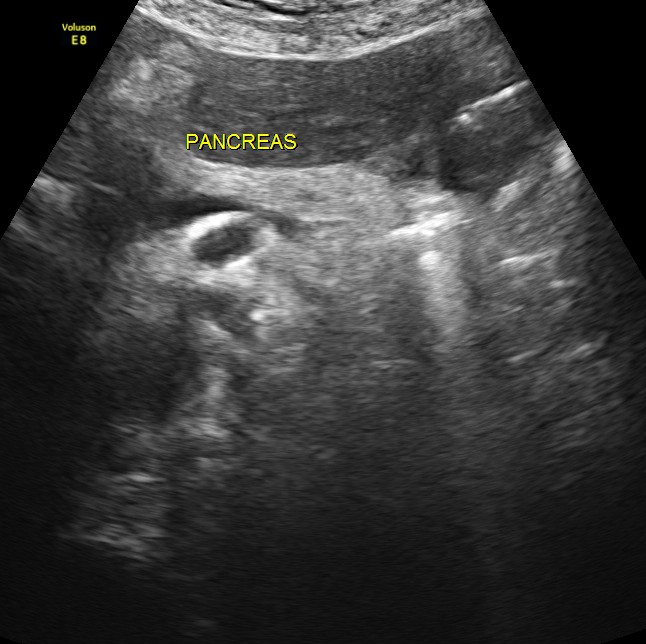
Pancreas appears normal.
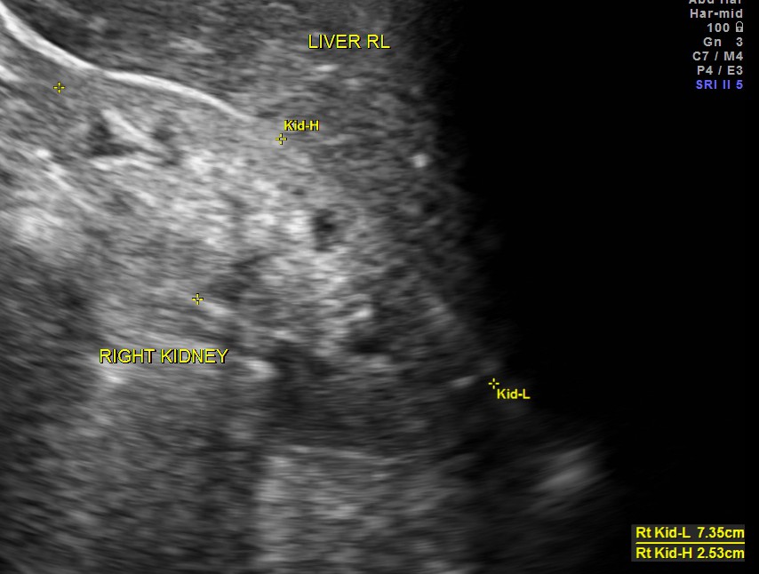
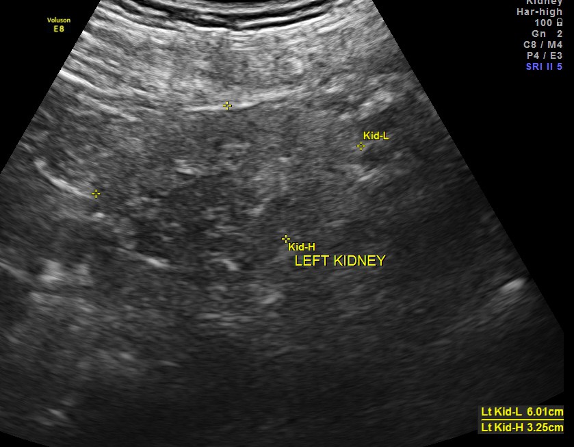
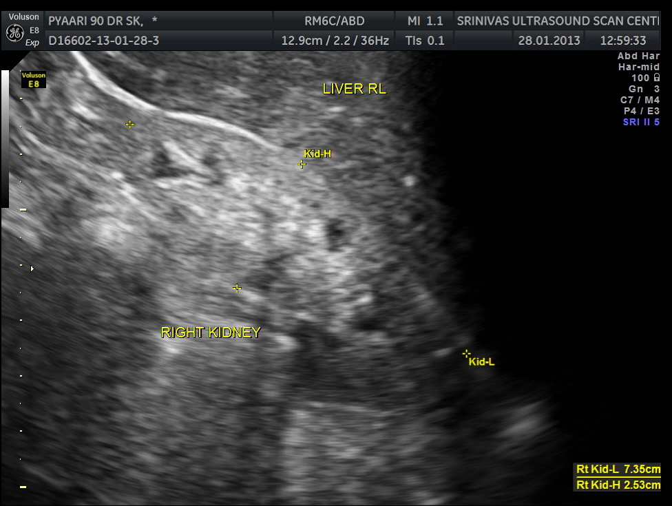
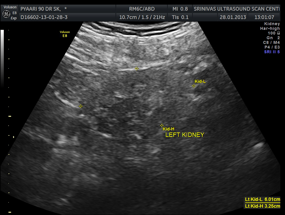
Both kidneys show features of medical renal disease.
Pelvis appeared to be normal.
This 90 year old lady had many reasons for her symptoms. – CHOLELITHIASIS , PROBABLE GALL BLADDER WALL CARCINOMA AND MEDICAL RENAL DISEASE.
The patient and her attenders declined any further investigation and opted for alternative medical treatment.










Great case again, thanks.
LikeLike
Attendents took the rt decision…. nice work Kriz
LikeLiked by 1 person