This was a 63-year-old gentleman who came for recurrent episodic right upper quadrant pain of 2 to 3 weeks duration.On examination Murphy’s sign was positive. The pictures follow.
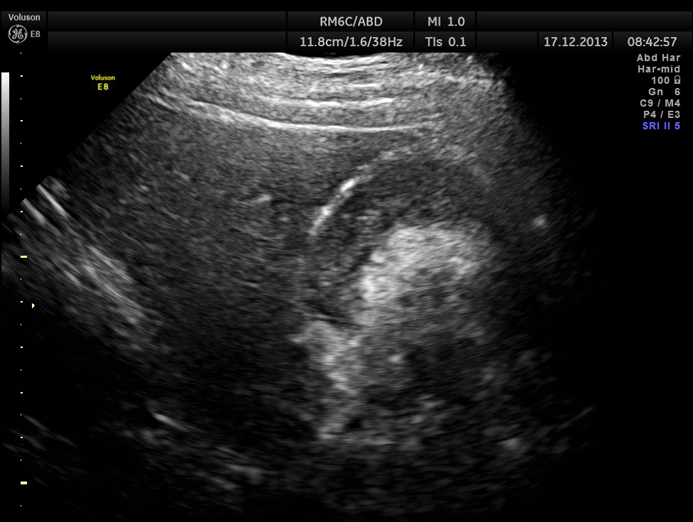
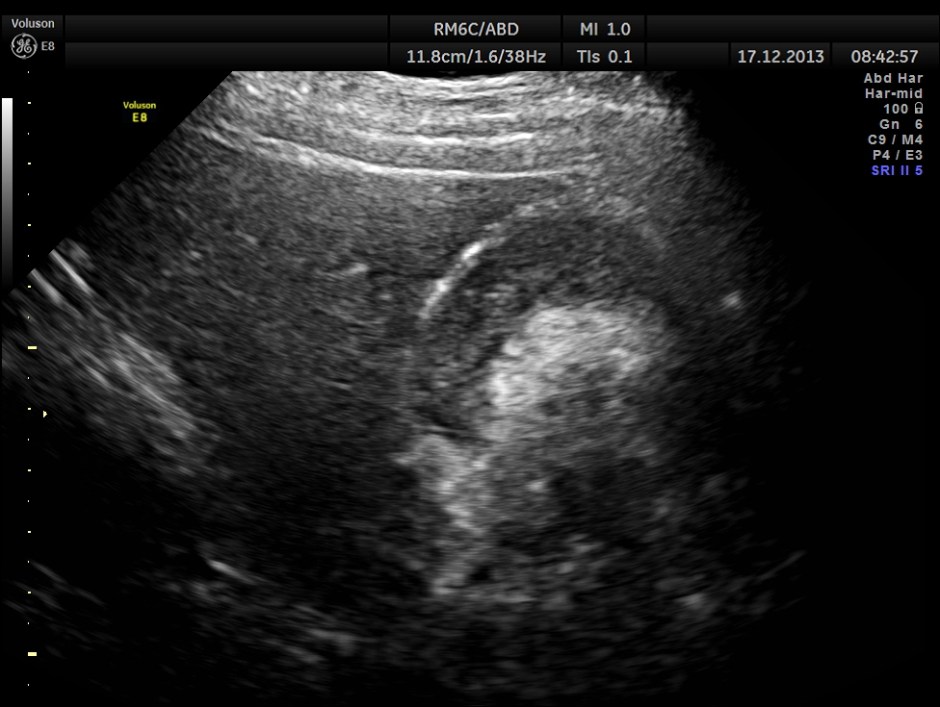
ACUTE CHOLECYSTITIS WITH MULTIPLE SMALL GALLSTONES AND ECHOGENIC SLUDGE WAS SEEN.
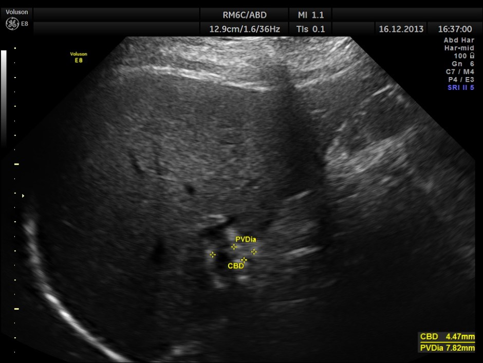
The Common Bile Duct is 5.07 mms.
Now a quick question . What is the normal range of measurement of the C.B.D. ?
A reference link is given below.
http://www.jultrasoundmed.org/content/19/11/727.full.pdf
a small although statistically significant increase in the caliber of the common bile duct with increasing
age (60 years old or less, mean diameter 3.6 mm ± 0.2mm, versus over 85 years old, mean diameter 4
mm ± 0.2 mm, P = 0.009). Although the common bile duct did increase in size with aging, 98% of all
ducts remained below 6 to 7 mm, the commonly accepted upper range of normal.
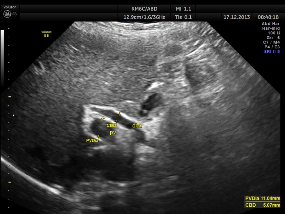
A high definition live rendering is given below.
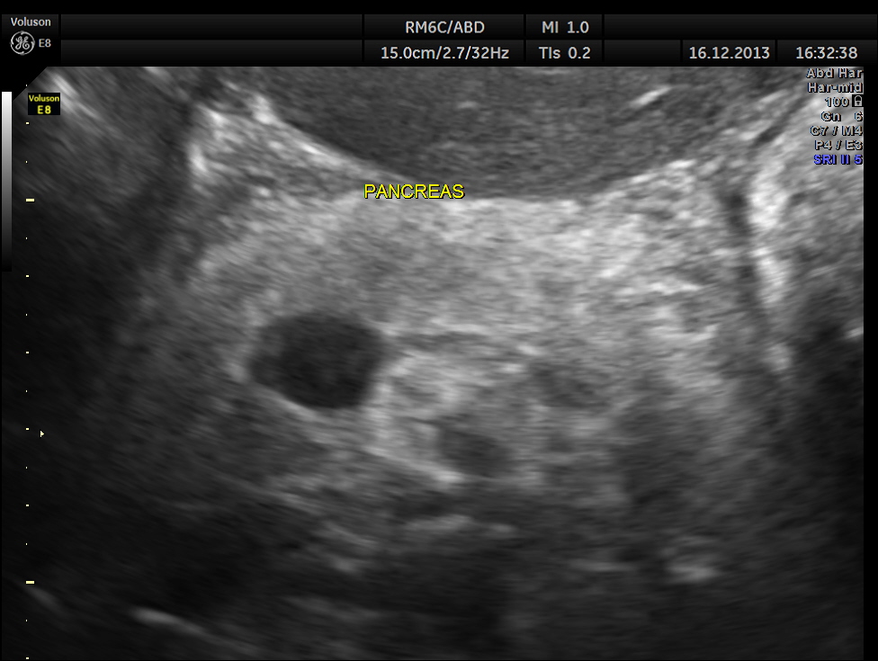
The pancreas appeared to be normal.
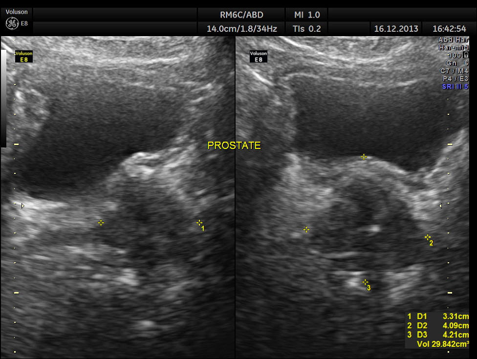
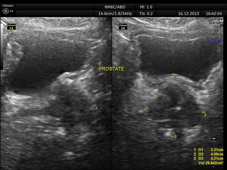
He also had mild prostatomegaly.
He was taken up for laparoscopic cholecystectomy. The procedure was uneventful . He had fever on the 1st post operative day ; but subsequently he recovered well and was discharged 2 days later. He was complaining of a mild right upper quadrant pain occasionally.
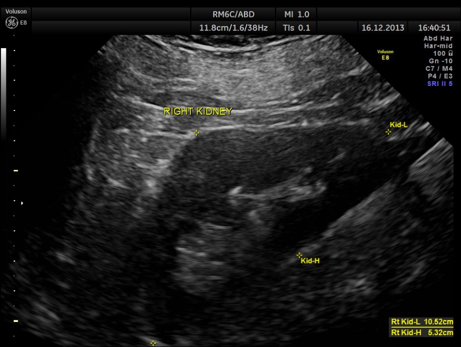
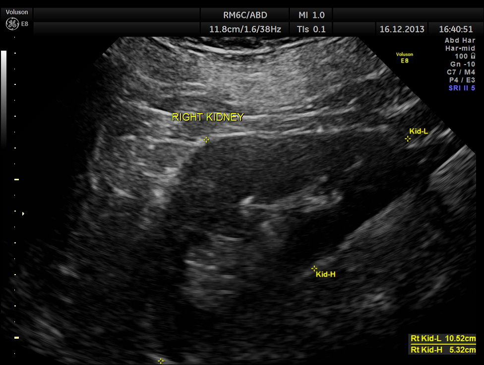
He came for a repeat scan 50 days later.
The C.B.D. measured 5.70 mms ( still within the normal range ).There was no evidence of any obstruction .
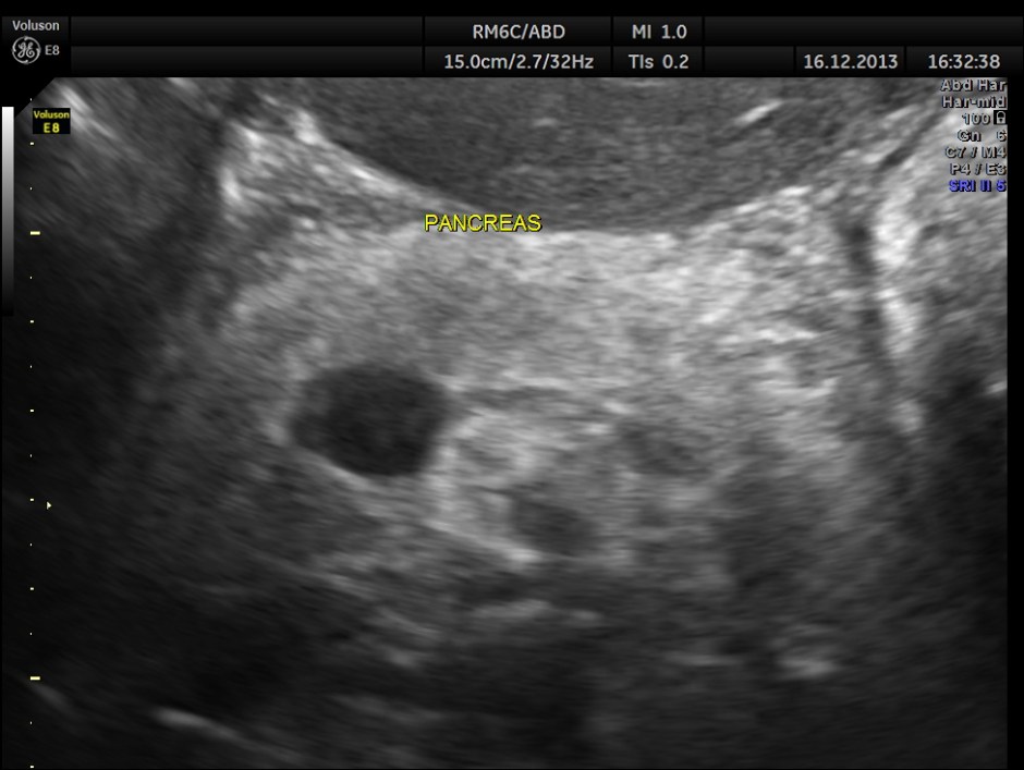
The pancreas appeared to be normal.
He was reassured by everybody concerned – the sonologist ( yours truly ) and the surgeons.
Now for the Murphy’s law . When the patient complains of persistent pain and the investigations are normal , is everything under control ? What has to go wrong , goes wrong anyway. Now for the law number 2 : When the patient happens to be a great friend this is more likely.
Now he had increasing pain over the next few days and developed jaundice. This time MRI scan was ordered by the gastroenterologist and a small gallstone with surrounding edema was found in the C.B.D. just before the sphincter of Oddi. He was taken up for ERCP retrieval . Again the Murphy’s law came into play . What was supposed to be a less than 30 minutes procedure took around 2 hours ,but the stone was retrieved successfully and he was sent home that evening. But the story does not end immediately there. He developed visible gastric peristalsis and pain the next day . But the gastroenterologist felt that was due to duodenal edema due to the prolonged procedure . Over the next few days he recovered well and is asymptomatic now.















I read with interest this write up,well discussed by an experienced sonologist physician !
LikeLike
Thanks sir
LikeLike
Hi, first thank you for your wonderful case. For my understanding, the patient younger 40, CBC<6 mm, older 40, every 10 year add 1 mm.
For example: 60 years patent, CBC<8 mm.
Sabrina
LikeLike
Hi Sabrina ,
Thanks for your useful input.
Krishnan
LikeLike
Highlited most common problem
LikeLike
Excellent presentation
LikeLike