This was 61 year old gentleman ,who came for complaints of right upper quadrant pain , poor appetite for the past 1 month. He also gave history of tenesmus later in the day ( after a normal evacuation in the mornings ) . There was no history of any malaena.
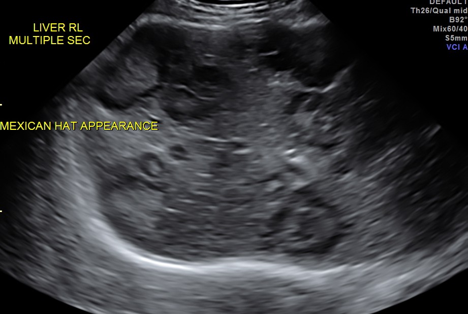
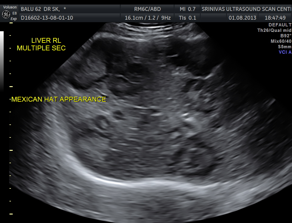
His liver showed multiple secondaries .

secondaries show target appearance or bird’s eye view of mexican hat appearance
Clinically he had uncontrolled systemic hypertension and mildly elevated s. creatinine of 1.7 mgms/dl.
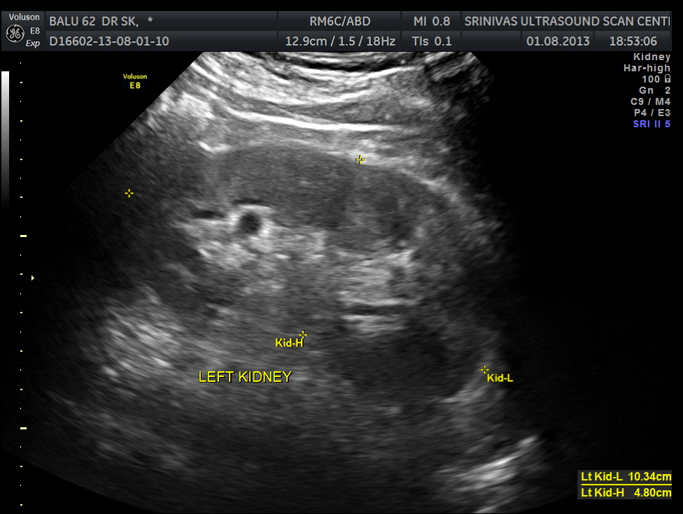
The diagnosis offered was multiple liver secondaries with incidental finding of shrunk right kidney with probable reduced function.
DISCUSSION : Generally the target sign or the bird’s eye view of the Mexican hat sign could signify colo-rectal carcinoma.
Further investigations revealed normal upper G.I. Endoscopy .
Colonoscopy revealed Carcinoma of Rectum with no obstruction.
He has been advised chemo-radio therapy by the surgeon.










A typical case.Unfortunately metastatic symptom other than colon symptom is the first sign.
LikeLike