This was a 24 year old lady referred for 2 nd opinion for hydrocephalus.
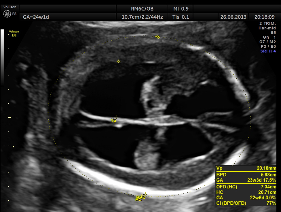
Hydrocephalus was confirmed.
The cerebellum was distorted in shape – boomerang shaped and the cisterna magna was almost obliterated.
The spine was scanned next and the following images were seen
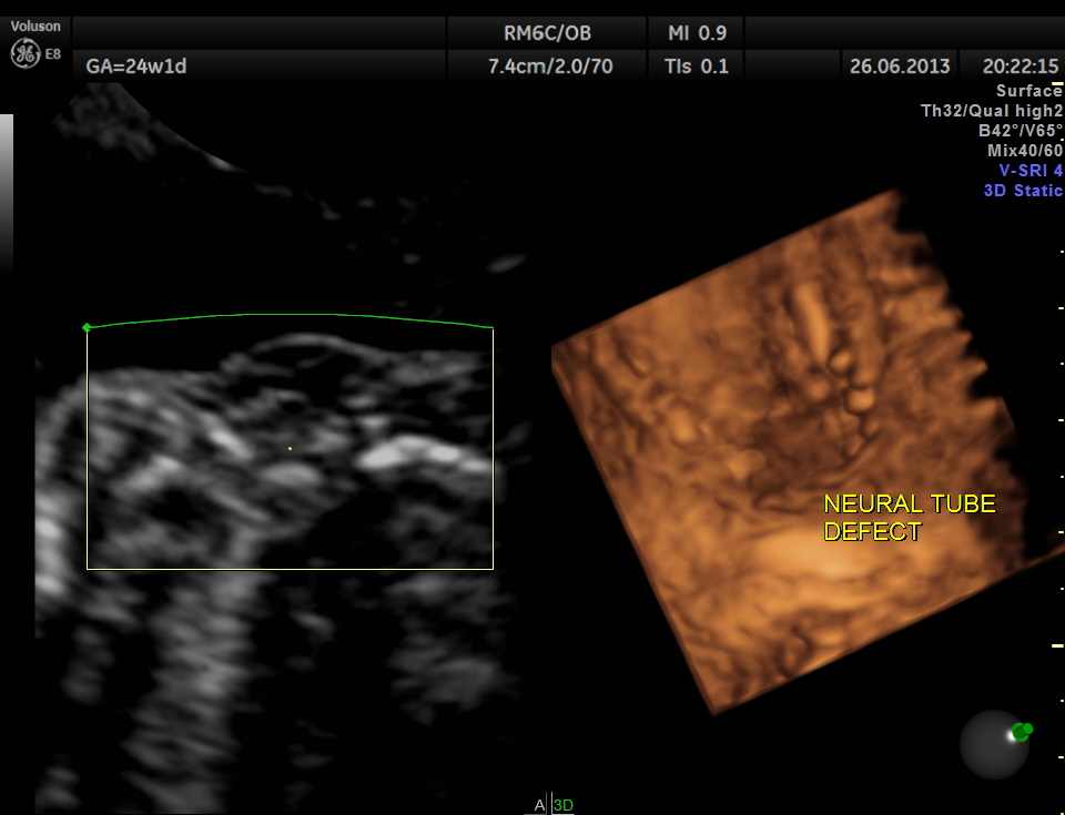
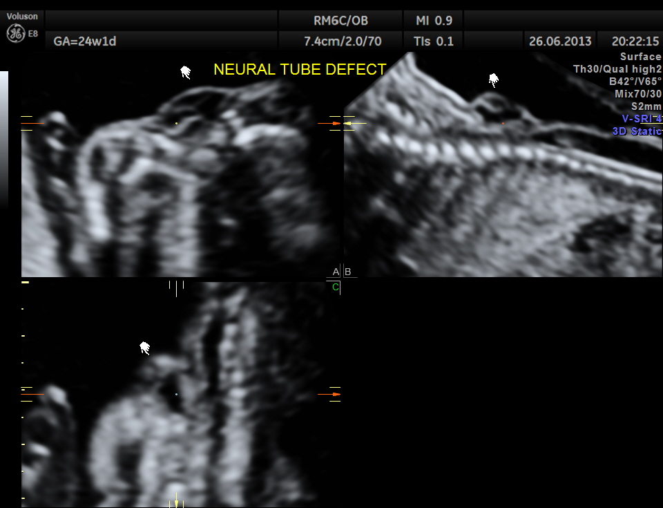
the next is a 3 d image of the open neural tube defect in the thoracic region
the following images are reconstructed images.
the following image shows the open neural tube defect at the same level as the heart.
moral of the case : a thorough examination of the spine is essential whenever a hydrocephalus is seen , especially with a distorted cerebellum.
I have a few questions for those who read this post.
This lady presented at 24 weeks of gestation . What is the advise given to her in India , with the 20 weeks cut-off for medical termination for pregnancy.? What is done in other places ?











Hi,
Here in Spain, we refer these cases to a fetal surgery center, in order to evaluate the case porpoused to prenatal surgical therapy of the myelomeningocele. I send you the contact info of Vall dHebron Ob/Gyn Dept. at Barcelona (Spain) http://www.medfetal.org/es/contacto.html. This is one of the Spain centers which these cases could be threated in a fetus patient.
Pedro Royo
LikeLike
Thanks
LikeLike
super krish, 24 weeks in case of this type is an option in for top in uk as per the guidelines,, if pt chooses wil refer to fetal surggery center.. in gulf top will not be entertained at any age
LikeLike