This was a 43 year old lady with chronic left loin pain.
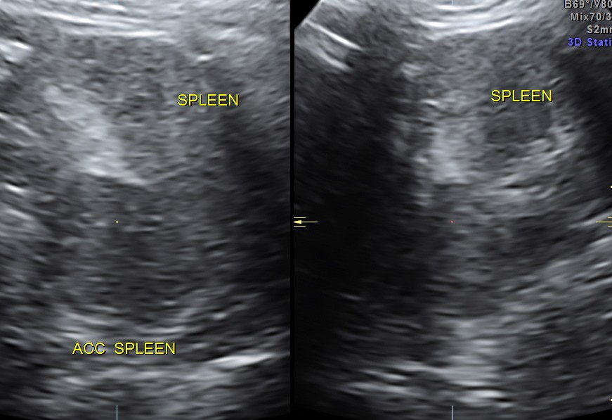
Splenunculus was visualized,
In simpler terms this means accessory spleen.
An accessory spleen (supernumerary spleen, splenule, or splenunculus) is a small nodule of splenic tissue found apart from the main body of the spleen. Accessory spleens are found in approximately 10 percent of the population and are typically around 1 centimeter in diameter. They form either by the result of developmental anomalies or trauma. They are medically significant in that they may result in interpretation errors in diagnostic imaging or continued symptoms after therapeutic splenectomy.
Significance
If splenectomy is performed for conditions in which blood cells are sequestered in the spleen, failure to remove accessory spleens may result in the failure of the condition to resolve. Duringmedical imaging, accessory spleens may be confused for a enlarged lymph nodes or neoplastic growth in the tail of the pancreas, gastrointestinal tract, adrenal glands or gonads
In 2010 a CT of my abdomen showed a Splenunculus. A CT done two days ago on my admission to hospital says nothing about any such thing. Which one do you think is more likely to have it ‘wrong’? I wouldn’t think a Splenunculus could ‘resolve’?
LikeLike
A splenunculus can not resolve .
LikeLike
Cases of wandering spleens are also there.
LikeLike
In USA , a pelvic spleen was misdiagnosed as a fibroid uteri and hysterectomy was done there.
LikeLike
😳
LikeLike