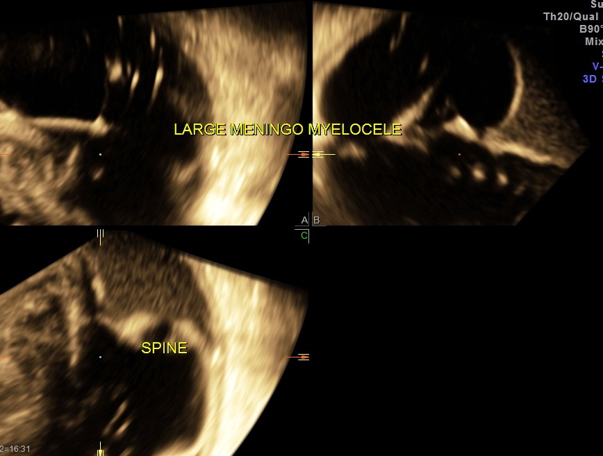
This was a 22 year old primi gravida , sent for scan at 36 to 37 weeks of gestation.
She had undergone 2 scans at government hospital and another scan at a private clinic at 16 , 22 and 28 weeks of gestation.Now she was referred as the sonologist at a different centre suspected a lesion.
The following are the images .
This was a sad finding at 37 weeks of gestation and should have been detected earlier.

Keep talking at medical fora & situations will improve.- Deiveegan.K
LikeLike