This was a 60 year old gentle man sent for evaluation of severe pain in the right upper quadrant of one months’s duration.
He had undergone Whipple’s procedure for Carcinoma of the head of the pancreas 2 years ago.
The Whipple procedure today is very similar to Whipple’s original procedure. It consists of removal of the distal half of the stomach (antrectomy), the gall bladder and its cystic duct (cholecystectomy), the common bile duct (choledochectomy), the head of the pancreas, duodenum, proximal jejunum, and regional lymph nodes. Reconstruction consists of attaching the pancreas to the jejunum (pancreaticojejunostomy) and attaching the hepatic duct to the jejunum (hepaticojejunostomy) to allow digestive juices and bile respectively to flow into the gastrointestinal tract and attaching the stomach to the jejunum (gastrojejunostomy) to allow food to pass through. Whipple originally used the sequence: bile duct, pancreas and stomach, whereas presently the popular method of reconstruction is pancreas, bile duct and stomach, also known as Child’s operation.
The following images show the findings :
Glass body reconstruction of a right lobe liver nodule ,
Volume contrast imaging ( VCI – A plane of the liver nodule )
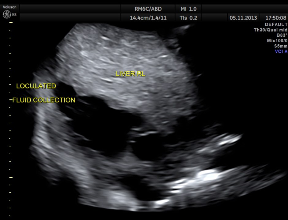
Loculated sub diaphragmatic fluid collection.
Septated cystic mass seen in the free surface of the right lobe of the liver.
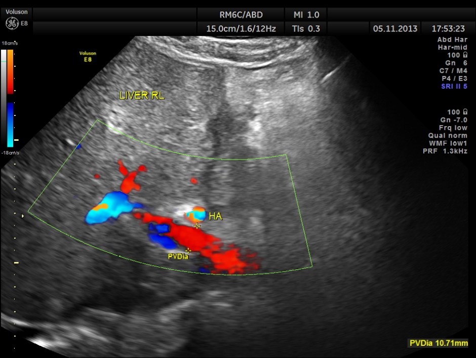
Colour flow mapping shows non visualisation of Common Bile Duct consistent with history.
Part of the body and the tail of the pancreas seen.
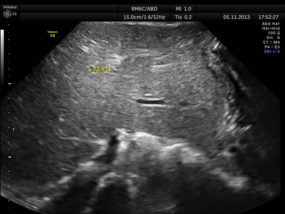
The left lobe of the liver appears to be normal.
This patient had a painful metastatic nodule in the right lobe of the liver. He also had loculated sub diaphragmatic collection and a septated cystic mass in the free surface of the liver.
He was lost for follow up !









Multiple cystic metastases were seen in liver from breast carcinoma.
LikeLike
Awesome
LikeLike
Thank you again Krishnan Elaine Frangello
LikeLike