This was a 79 day old child who was suddenly not moving his right fore arm for the past 1 day.
The child was having tenderness and mild swelling of the forearm and had low grade fever.
X-ray was reported as normal.
The referring physician wanted to rule out osteomyelitis.
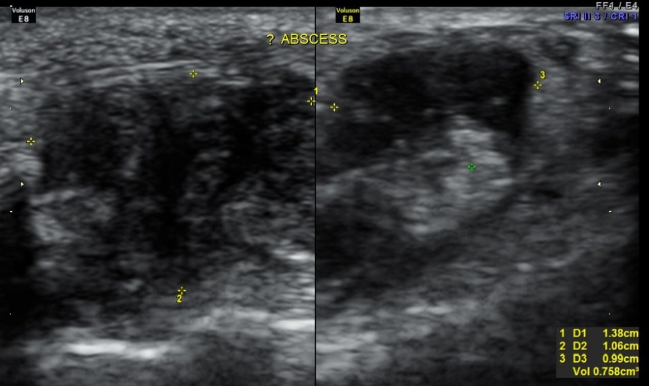
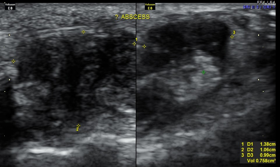
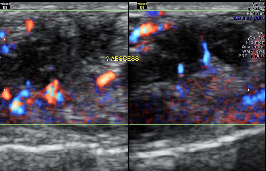
Ultrasound done with high resolution transducer revealed the following findings :
An indistinct hypo echoic mass was seen under a tendon and was well away from the surface of the bone .
Colour Doppler showed increased vascularity all around .
A diagnosis of an abscess in formation was offered and the child recovered well with appropriate treatment.
The following are the pictures.
This case is presented to illustrate how musculo skeletal ultrasound and colour Doppler can be very useful to assess soft tissue pathology.




Pingback: Infant who could not move his arm suddenly | When I turned 53